Người phụ nữ suýt liệt vì tập yoga chữa thoát vị đĩa đệm

Tuấn Minh, Theo Thanh Niên Việt 15:46 04/12/2025
Chia sẻ

Càng tập thấy càng đau, cô ra hiệu mua thuốc giảm đau tức thời, hết thuốc, tình trạng lại nặng hơn.

Theo BS Cao Thanh Phong (Chuyên ngành Y học cổ truyền, Cơ xương khớp và thần kinh cột sống, làm việc tại Hà Nội), anh mới tiếp nhận một bệnh nhân là nữ, 60 tuổi, đã nghỉ hưu. Cô là người luôn được đánh giá là năng động, yêu vận động, chăm chỉ tập yoga và tham gia múa hát, sinh hoạt văn nghệ thường xuyên.

Càng tập, triệu chứng bệnh càng nặng

Theo BS Cao Thanh Phong, điều khiến ê-kíp đặc biệt lo ngại không phải chỉ là cơn đau lưng, mà là cách bệnh nhân chấp nhận sống chung với đau suốt thời gian dài và liên tục “đè nặng” thêm lên cột sống của mình.

Tại thời điểm vào viện, bệnh nhân đau lưng cả ngày, không thể đứng hay ngồi thẳng. Cơn đau chỉ giảm khi nằm, còn hễ đứng dậy là đau buốt, lan rộng.

“Bệnh nhân cho biết mình tập yoga mỗi ngày vì tin rằng yoga có thể chữa được thoát vị đĩa đệm”, BS Cao Thanh Phong kể lại.

Đáng nói là sau mỗi buổi tập, cảm giác đau và tê buốt tăng lên, nhưng thay vì dừng lại, bệnh nhân tiếp tục tập với suy nghĩ quen thuộc: Đau là dấu hiệu đang kéo giãn để khỏi bệnh.

Theo bác sĩ, đây là quan niệm sai lầm rất phổ biến.

Trong trường hợp này, bệnh nhân càng tập thì triệu chứng càng nặng, bởi các động tác cúi, ngửa quá mức của yoga đã vượt quá khả năng chịu lực của cột sống đang tổn thương. Để có thể tiếp tục đi múa hát, tập văn nghệ, bệnh nhân lựa chọn một giải pháp nguy hiểm khác. Cô lạm dụng thuốc giảm đau, kháng viêm, giãn cơ, cả thuốc tân dược lẫn thuốc sắc. Trung bình mỗi tháng vài lần, cứ đau là uống thuốc để có thể… đứng thẳng.

“Điều đáng nói là phần lớn các loại thuốc bệnh nhân sử dụng đều không có chỉ định hiện tại”, BS Cao Thanh Phong nhấn mạnh.

Người phụ nữ suýt liệt vì tập yoga chữa thoát vị đĩa đệm- Ảnh 1.
Người phụ nữ suýt liệt vì tập yoga chữa thoát vị đĩa đệm- Ảnh 2.
Người phụ nữ suýt liệt vì tập yoga chữa thoát vị đĩa đệm- Ảnh 3.

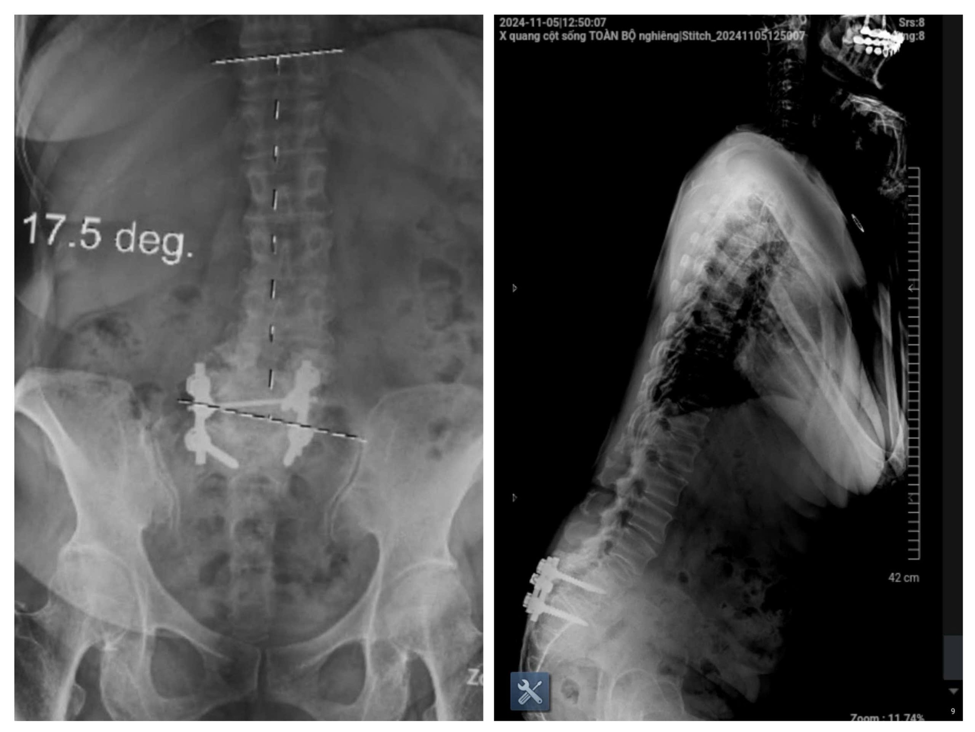
Hình ảnh phim chụp của bệnh nhân vào tháng 11/2024. (Ảnh: BSCC)

Tự ý uống thuốc, chữa bệnh bằng nhiều phương pháp để mong hết đau lưng

Bệnh nhân tự ý mua thuốc, thậm chí dựa trên đơn thuốc cũ cách đây 15 năm, uống lặp đi lặp lại trong thời gian dài.

Song song với đó, bệnh nhân cũng chạy chữa nhiều nơi, từ Đông y đến Tây y. Xoa bóp, châm cứu, kéo giãn, chiếu đèn… phương pháp nào cũng từng thử. “Giảm đau có, nhưng chỉ là tạm thời. Sau đó đau nặng hơn”, bác sĩ cho hay.

Một chi tiết quan trọng nhưng bị bệnh nhân bỏ qua suốt nhiều năm, theo BS Cao Thanh Phong, là tiền sử phẫu thuật cột sống.

Bệnh nhân từng mổ cố định cột sống cách đây hơn 15 năm do mất vững L5/S1, đã được gắn 4 vít.

“Với tiền sử này, mọi hoạt động vận động đều cần được cân nhắc rất kỹ”, BS Cao Thanh Phong nói.

Tuy nhiên, bệnh nhân vẫn duy trì tập yoga thường xuyên với các động tác cúi, ngửa sâu, trong khi cột sống đã có can thiệp phẫu thuật từ trước. Khi thăm khám và chỉ định chụp chiếu, kết quả khiến bác sĩ phải lập tức cảnh báo nguy cơ tổn thương thần kinh.

Theo BS Cao Thanh Phong, hình ảnh cận lâm sàng cho thấy:

- Hở eo và trượt đốt sống L4 ra trước độ II

- Thoát vị đĩa đệm L4/L5 ra sau, có phần di trú

- Hẹp ống sống nặng, đường kính trước - sau <7mm

- Hẹp ngách bên, lỗ tiếp hợp, chèn ép toàn bộ rễ thần kinh ngang mức L4 và L5

Không dừng lại ở đó, bệnh nhân còn có phình đĩa đệm tại nhiều tầng khác như L2/L3, L3/L4 và L5/S1, gây chèn ép bao màng cứng và hẹp ống sống mức độ nhẹ.

Trên lâm sàng, tình trạng còn đáng báo động hơn

Bệnh nhân đứng đau, ngồi đau, nghiêng người cũng đau, chỉ đỡ khi nằm. 2 chân teo yếu, vận động nâng, gấp - duỗi bị hạn chế rõ ràng.

“Bệnh nhân chỉ đi bộ được khoảng 200 mét là phải dừng lại”, BS Cao Thanh Phong cho biết.

Việc lên xuống cầu thang rất khó, sinh hoạt hàng ngày gần như chỉ gói gọn ở tầng 1 của ngôi nhà.

Đặc biệt, bệnh nhân đã xuất hiện dấu hiệu rối loạn cơ tròn, tổn thương chùm thần kinh đuôi ngựa và thần kinh tọa.

Theo BS Cao Thanh Phong, đây là dấu hiệu nguy hiểm, nếu chậm trễ có thể để lại di chứng thần kinh không hồi phục.

Trước tình trạng này, bác sĩ buộc phải đưa ra chỉ định rõ ràng và dứt khoát. “Chúng tôi yêu cầu can thiệp ngoại khoa càng sớm càng tốt”, BS Cao Thanh Phong nói. Lý do là vì tổn thương thần kinh đã xuất hiện, khả năng hồi phục sẽ giảm dần nếu tiếp tục trì hoãn.

Người phụ nữ suýt liệt vì tập yoga chữa thoát vị đĩa đệm- Ảnh 5.

Hình ảnh phim chụp của bệnh nhân vào tháng 11/2025. (Ảnh: BSCC)

Song song với đó, bệnh nhân được yêu cầu nghỉ ngơi tuyệt đối, không tập luyện, không làm việc sai tư thế. “Đặc biệt là phải dừng hoàn toàn yoga và nhảy múa”, bác sĩ nhấn mạnh.

Một yêu cầu khác được bác sĩ nhắc đi nhắc lại nhiều lần là nghiêm cấm lạm dụng thuốc giảm đau. Theo BS Cao Thanh Phong, thuốc chỉ giúp che đậy triệu chứng, trong khi tổn thương bên trong vẫn tiếp tục tiến triển âm thầm.

Bệnh nhân được tư vấn mổ từ tháng 11/2024. Sau nhiều lần giải thích cặn kẽ, bệnh nhân quyết định phẫu thuật vào ngày 6/1/2025. Kết quả sau mổ khiến chính bệnh nhân thay đổi hoàn toàn suy nghĩ.

Sau phẫu thuật và tập phục hồi chức năng, chỉ vài tuần sau Tết, bệnh nhân đã có thể đi lại, sinh hoạt và đón khách. Đến tháng 3/2025, sức khỏe tổng thể cải thiện rõ rệt. Tháng 11/2025, bệnh nhân tái khám định kỳ, gửi lại phim X-quang cột sống.

“Tròn 1 năm đồng hành, bệnh nhân nói với chúng tôi rằng đi mổ là quyết định sáng suốt nhất trong cuộc đời”, BS Cao Thanh Phong chia sẻ.

Bệnh nhân cũng cho biết mình không còn sợ những lời dọa nạt kiểu “mổ là liệt”, “50-50”, thường gặp từ những người tự xưng “lang y”, “thần y”, hay “đông y gia truyền”.

Cảnh báo của bác sĩ

Từ trường hợp này, BS Cao Thanh Phong cảnh báo mạnh mẽ:

Yoga không xấu, nhưng không dành cho tất cả mọi người.

Người có tiền sử mổ cột sống, thoát vị, trượt đốt sống, hẹp ống sống cần được bác sĩ chuyên khoa thăm khám trước khi tập.

“Nếu tập xong mà đau nhiều hơn, tê nhiều hơn, đó là tín hiệu cảnh báo đỏ”, bác sĩ nhấn mạnh.

Đừng cố chịu đựng, đừng che đau bằng thuốc và càng không nên tin mù quáng rằng càng đau là càng sắp khỏi.

Theo BS Cao Thanh Phong, sai lầm lớn nhất không nằm ở yoga, mà nằm ở việc tự điều trị, tự tập và phó mặc cột sống cho niềm tin truyền miệng. Khi cơ thể đã kêu cứu, lắng nghe sớm một chút, có thể tránh được những cái giá quá đắt về sau.

TIN CÙNG CHUYÊN MỤC
Xem theo ngày