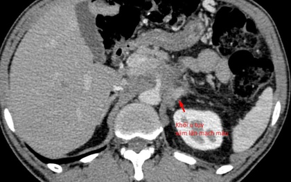
Nổi tiếng là người sống điều độ, không bao giờ ăn uống vô độ, không hút thuốc, không rượu bia, thế nhưng, theo chia sẻ của bác sĩ điều trị, chính ba thói quen tưởng chừng vô hại vào buổi tối lại trở thành “ngòi nổ” khiến căn bệnh của bà âm thầm bùng phát.