Nhìn mờ kéo dài, người đàn ông phát hiện bệnh lí nguy hiểm

Hà Minh, Theo tienphong.vn 18:16 15/01/2026
Chia sẻ

Chỉ với triệu chứng nhìn mờ kéo dài, không đau nhức, một bệnh nhân 44 tuổi tại Hà Nội đã được các bác sĩ Khoa Mắt (Bệnh viện Bạch Mai) phát hiện khối u tuyến yên kích thước lớn. Trường hợp này cho thấy những bất thường ở mắt có thể là “dấu hiệu chỉ điểm” giúp phát hiện sớm các bệnh lí nguy hiểm toàn thân.

Nhìn mờ âm thầm nhưng ẩn chứa nguy cơ lớn

Bệnh nhân 44 tuổi, đến khám tại Khoa Mắt (Bệnh viện Bạch Mai) do tình trạng nhìn mờ, giảm thị lực kéo dài nhiều tháng, tuy nhiên không kèm theo đau nhức hay các biểu hiện cấp tính khác nên chủ quan, chưa đi khám sớm.

Qua thăm khám ban đầu, khi đo thị lực bằng bảng chữ cái nhìn xa, các bác sĩ nhận thấy người bệnh chỉ đọc được các chữ phía mũi, trong khi không nhìn thấy phần bảng chữ phía thái dương. Dấu hiệu bất thường này khiến các bác sĩ nghi ngờ tình trạng khuyết thị trường do tổn thương thần kinh thị giác.

Nhìn mờ kéo dài, người đàn ông phát hiện bệnh lí nguy hiểm- Ảnh 1.

Bác sĩ phẫu thuật mắt cho bệnh nhân.

Kết quả đo thị trường cho thấy bệnh nhân khuyết hoàn toàn nửa thị trường phía thái dương ở cả hai mắt, còn gọi là khuyết thị trường hai bên. Hình ảnh chụp đáy mắt ghi nhận đĩa thị bạc màu, cho thấy tổn thương thần kinh thị giác đã diễn ra trong thời gian dài.

Theo các bác sĩ, đây là biểu hiện điển hình của các bệnh lí chèn ép giao thoa thị giác - vùng bắt chéo của dây thần kinh thị giác tại nền sọ. Trong đó, u tuyến yên là nguyên nhân thường gặp nhất.

Từ các dấu hiệu nghi ngờ, bệnh nhân được chỉ định chụp cộng hưởng từ (MRI) sọ não. Kết quả cho thấy một khối u tuyến yên kích thước lớn (macroadenoma) với đường kính khoảng 26 × 21 mm, đang chèn ép cấu trúc thần kinh thị giác.

Ngay sau đó, người bệnh được chuyển sang chuyên khoa Phẫu thuật Thần kinh để tư vấn và lên kế hoạch điều trị, phẫu thuật kịp thời nhằm tránh các biến chứng nặng nề như mất thị lực vĩnh viễn hoặc rối loạn nội tiết.

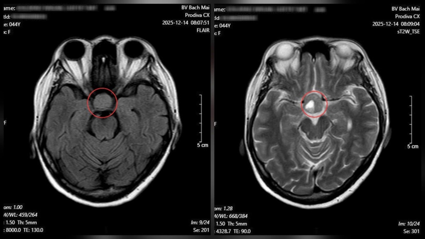
Nhìn mờ kéo dài, người đàn ông phát hiện bệnh lí nguy hiểm- Ảnh 2.

Kết quả chụp cộng hưởng từ (MRI) sọ não cho thấy một khối u tuyến yên kích thước lớn

Các bác sĩ nhấn mạnh, đôi mắt không chỉ là cơ quan thị giác mà còn phản ánh nhiều bệnh lí toàn thân nguy hiểm. Nhiều bệnh có thể biểu hiện sớm qua các dấu hiệu ở mắt như: nhìn mờ, giảm thị lực không rõ nguyên nhân; thu hẹp tầm nhìn, khuyết thị trường; thay đổi khả năng nhận biết màu sắc; nhìn tối, nhìn mờ tăng dần theo thời gian.

Đặc biệt, khuyết thị trường thường tiến triển âm thầm, người bệnh rất khó tự nhận biết và chỉ phát hiện khi tổn thương đã ở giai đoạn muộn. Trường hợp trên là ví dụ điển hình khi bệnh nhân chỉ đi khám lúc thị trường hai mắt đã bị khuyết hoàn toàn, ảnh hưởng nghiêm trọng đến sinh hoạt và chất lượng cuộc sống.

Đừng chủ quan với tình trạng nhìn mờ kéo dài

Các bác sĩ Khoa Mắt khuyến cáo, người dân không nên chủ quan với tình trạng nhìn mờ kéo dài, dù không đau nhức. Việc khám mắt định kì, đặc biệt khi có cảm giác “nhìn vẫn rõ nhưng thiếu một phần tầm nhìn”, là rất cần thiết.

Khi cần thiết, người bệnh nên được thực hiện các thăm dò chuyên sâu như đo thị trường, chụp hình thần kinh thị giác… để phát hiện sớm những tổn thương tiềm ẩn.

Với hệ thống trang thiết bị hiện đại và khả năng phối hợp đa chuyên khoa các bác sĩ có thể phát hiện sớm tổn thương thần kinh thị giác, từ đó tìm ra nguyên nhân và điều trị kịp thời, giúp người bệnh tránh nguy cơ mất thị lực vĩnh viễn và các biến chứng nguy hiểm khác.

TIN CÙNG CHUYÊN MỤC
Xem theo ngày