Cứu sống mẹ con du khách Nga bị tai nạn nguy kịch

Hải Yến, Theo nld.com.vn 12:11 07/02/2026
Chia sẻ

Sau tai nạn, 2 mẹ con du khách người Nga được đưa đến bệnh viện cấp cứu trong tình trạng nguy kịch.

Ngày 7-2, Bệnh viện Nhân dân 115 (TPHCM) cho hay vừa phẫu thuật cấp cứu cho 2 mẹ con du khách người Nga bị tai nạn giao thông tại TPHCM.

Theo bác sĩ Trần Văn Dũng, Khoa Ngoại Thần kinh-Bệnh viện Nhân dân 115, 2 bệnh nhân gồm người con là G.A (nam, 28 tuổi) và mẹ là bà G.N (53 tuổi), được Bệnh viện Bà Rịa chuyển đến cấp cứu sau khi được sơ cứu và phẫu thuật cấp cứu mở sọ giải áp.

Cứu sống mẹ con du khách Nga bị tai nạn nguy kịch- Ảnh 1.
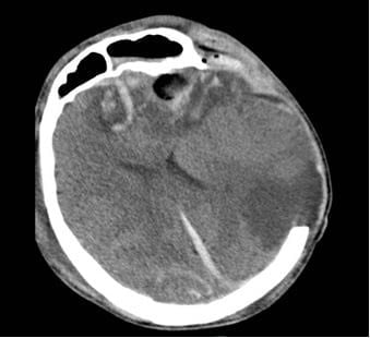
Cứu sống mẹ con du khách Nga bị tai nạn nguy kịch- Ảnh 2.

Phim CT não của 2 bệnh nhân 

Tại Bệnh viện Nhân dân 115, bệnh nhân G.A nhập viện trong tình trạng hôn mê sâu, phải thở máy nội khí quản. Kết quả chụp CT sọ não cho thấy dập não xuất huyết rải rác nhiều vị trí, phù não lan tỏa nặng, tiên lượng rất dè dặt, nguy cơ tử vong cao. Bệnh nhân được điều trị tích cực tại Đơn vị Hồi sức ngoại khoa, Khoa Gây mê Hồi sức với sự theo dõi sát sao của ê-kíp chuyên môn.

Người mẹ, bà G.N. cũng trong tình trạng rối loạn tri giác, dập não thái dương lượng lớn. Sau hội chẩn kỹ lưỡng, các bác sĩ quyết định lựa chọn phương pháp điều trị bảo tồn nhằm hạn chế tối đa tổn thương thứ phát. Hướng điều trị này cho thấy hiệu quả rõ rệt khi người bệnh dần tỉnh táo, cải thiện khả năng giao tiếp và chức năng ngôn ngữ. Sau 10 ngày điều trị tại Khoa Ngoại thần kinh, bà G.N. hồi phục tốt và được xuất viện.

Đối với người con trai, sau hơn 10 ngày hồi sức tích cực, bệnh nhân G.A. bắt đầu có đáp ứng với kích thích đau. Đến ngày điều trị thứ 20, người bệnh cai máy thở thành công, tự mở mắt và được chuyển về Khoa Ngoại thần kinh để tiếp tục theo dõi và điều trị.

Trong suốt quá trình nằm viện, do không có thân nhân tại Việt Nam và gặp nhiều rào cản về ngôn ngữ, hai mẹ con người bệnh nhận được sự hỗ trợ tận tình từ đội ngũ y-bác sĩ, điều dưỡng và nhân viên y tế từ chăm sóc sinh hoạt hằng ngày, hỗ trợ ăn uống, vệ sinh cá nhân đến động viên tinh thần. Phòng Chỉ đạo tuyến, Công tác Xã hội của bệnh viện cũng chủ động phối hợp với Đại sứ quán Liên bang Nga nhằm kết nối với gia đình người bệnh tại quê nhà.

Mười ngày sau khi xuất viện, bà G.N. quay trở lại bệnh viện để thăm con trai. Cuộc hội ngộ sau quãng thời gian dài đối diện ranh giới sinh tử đã khiến nhiều nhân viên y tế không khỏi xúc động.

"Cảm ơn các bạn đã tận tâm cứu chữa và giúp mẹ con tôi vượt qua giai đoạn khó khăn nhất nơi đất khách quê người"- bà G.N nghẹn ngào gửi lời chia sẻ đến y-bác sĩ bệnh viện

Hiện tại, tình trạng sức khỏe của hai mẹ con đã ổn định và đang hoàn tất các thủ tục cần thiết để trở về Liên bang Nga, tiếp tục quá trình phục hồi chức năng.

TIN CÙNG CHUYÊN MỤC
Xem theo ngày