Chàng trai 28 tuổi một nửa dạ dày "tràn vào" lồng ngực vì ngày nào cũng dùng thức uống "vạn người mê"

Nguyệt Quang, Theo Thanh Niên Việt 16:21 08/01/2026
Chia sẻ

Cảm giác trào axit, nóng rát sau xương ức, ợ hơi kéo dài… nhiều người mặc định đó chỉ là rối loạn tiêu hóa thông thường. Nhưng trong một số trường hợp, những dấu hiệu tưởng chừng quen thuộc ấy lại che giấu một vấn đề nghiêm trọng hơn nhiều.

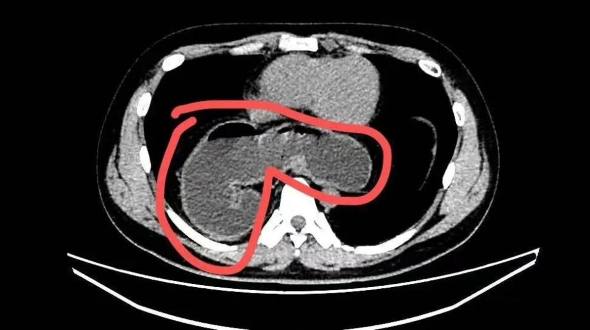
Mới đây, anh Lâm, 28 tuổi, sống tại Quảng Châu (Trung Quốc), đã khiến bác sĩ bất ngờ khi phát hiện một phần dạ dày của anh đã di chuyển lên khoang ngực . Trước đó suốt nhiều năm, anh thường xuyên bị ợ chua, nóng rát ngực, đầy hơi. Mỗi lần khó chịu, anh chỉ đến khoa tiêu hóa lấy thuốc, uống vào là đỡ nên không đi kiểm tra sâu. Các lần khám sức khỏe định kỳ cũng không phát hiện bất thường rõ rệt.

Chàng trai 28 tuổi một nửa dạ dày

Mãi đến tháng 10 năm ngoái, do ho kéo dài kèm viêm phổi dai dẳng không khỏi, anh được chụp CT phổi. Kết quả khiến cả bệnh nhân lẫn gia đình sững sờ: một phần dạ dày đã “chạy” qua lỗ thực quản lên lồng ngực . Nội soi sau đó xác định anh mắc thoát vị khe thực quản kèm viêm thực quản trào ngược và xoắn dạ dày. Rất may, anh được phẫu thuật xâm lấn tối thiểu và xuất viện chỉ sau 3 ngày.

Theo bác sĩ, thoát vị khe thực quản xảy ra khi lỗ tự nhiên trên cơ hoành - nơi thực quản đi từ ngực xuống bụng - bị giãn rộng bất thường. Khi “cánh cửa” này lỏng ra, dạ dày, thậm chí cả ruột hoặc lách, có thể bị đẩy ngược lên khoang ngực. Hệ quả là axit dạ dày dễ trào ngược gây nóng rát, ợ chua, khó nuốt, đau ngực; nặng hơn có thể dẫn đến xoắn dạ dày, tắc nghẽn, không ăn uống được.

Chàng trai 28 tuổi một nửa dạ dày

Không chỉ người cao tuổi mới mắc bệnh. Trường hợp của anh Lâm cho thấy lối sống xấu kéo dài ở người trẻ cũng là yếu tố nguy cơ lớn. Anh có thói quen hút thuốc, đặc biệt là uống rượu mạnh thường xuyên, mỗi lần uống lượng lớn, ngủ rất muộn, hay ăn khuya. Những yếu tố này làm kích thích liên tục đường tiêu hóa, tăng áp lực ổ bụng, khiến khe thực quản dần giãn rộng.

Bác sĩ cảnh báo nếu thường xuyên bị ợ chua, nóng rát ngực sau ăn, đừng chỉ coi đó là “đau dạ dày cho qua” . Khi triệu chứng kéo dài, tái diễn nhiều năm hoặc kèm ho mạn tính, viêm phổi không rõ nguyên nhân, cần nghĩ đến khả năng thoát vị khe thực quản và đi kiểm tra chuyên sâu.

Điều đáng lưu ý là dù nghe có vẻ đáng sợ, đây vẫn là bệnh lý lành tính và có thể điều trị dứt điểm bằng phẫu thuật , kể cả ở người cao tuổi. Quan trọng nhất là phát hiện sớm, thay đổi lối sống và không chủ quan với những dấu hiệu tiêu hóa kéo dài tưởng như vô hại.

Nguồn và ảnh: QQ

TIN CÙNG CHUYÊN MỤC
Xem theo ngày