Nhìn mờ nhiều tháng, đi khám phát hiện u não nguy hiểm

Như Loan/ VTC News, Theo vtcnews.vn 20:16 07/01/2026
Chia sẻ

Người đàn ông đi khám vì nhìn mờ kéo dài, bất ngờ được bác sĩ phát hiện u tuyến yên kích thước lớn từ những dấu hiệu bất thường ở mắt.

Người đàn ông 44 tuổi, trú tại Hà Nội, đến khám mắt tại Bệnh viện Bạch Mai vì nhìn mờ và giảm thị lực trong vài tháng. Đáng chú ý, tình trạng này diễn ra âm thầm, không kèm đau nhức hay dấu hiệu cấp tính, khiến người bệnh chủ quan và trì hoãn việc kiểm tra.

Trong quá trình đo thị lực bằng bảng chữ cái nhìn xa, bác sĩ nhận thấy chi tiết bất thường: người bệnh chỉ đọc được các chữ ở phía mũi, trong khi không nhìn thấy phần bảng chữ phía thái dương.

Kết quả đo thị trường sau đó xác nhận tình trạng khuyết hoàn toàn nửa thị trường phía thái dương ở cả hai mắt, biểu hiện điển hình của tổn thương đường dẫn truyền thị giác.

Hình ảnh chụp đáy mắt cho thấy đĩa thị bạc màu, dấu hiệu của tổn thương thần kinh thị giác kéo dài. Theo các bác sĩ, đây là biểu hiện thường gặp trong các bệnh lý chèn ép giao thoa thị giác - vùng bắt chéo của dây thần kinh thị giác tại nền sọ. Trong số đó, u tuyến yên là nguyên nhân phổ biến nhất.

Nhìn mờ nhiều tháng, đi khám phát hiện u não nguy hiểm- Ảnh 1.

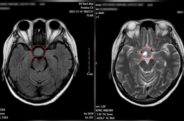
Kết quả chụp cộng hưởng từ (MRI) sọ não cho thấy khối u tuyến yên kích thước lớn.

Từ những dấu hiệu ở mắt, bệnh nhân được chỉ định chụp cộng hưởng từ (MRI) sọ não. Kết quả cho thấy một khối u tuyến yên kích thước lớn (macroadenoma), đo được 26 × 21 mm, đã chèn ép giao thoa thị giác. Người bệnh sau đó được chuyển sang chuyên khoa Phẫu thuật Thần kinh để tư vấn và lên kế hoạch điều trị, nhằm tránh nguy cơ mất thị lực vĩnh viễn và các biến chứng nặng nề khác.

Các bác sĩ cho biết, đôi mắt không chỉ là cơ quan thị giác mà còn phản ánh nhiều vấn đề sức khỏe toàn thân. Những dấu hiệu như nhìn mờ kéo dài không rõ nguyên nhân, thu hẹp tầm nhìn, thay đổi cảm nhận màu sắc hay thị lực giảm dần theo thời gian có thể liên quan đến các bệnh lý thần kinh, nội tiết hoặc u não.

Đặc biệt, khuyết thị trường thường tiến triển âm thầm, người bệnh khó tự nhận ra trong sinh hoạt hằng ngày. Nhiều trường hợp chỉ phát hiện khi tổn thương đã ở giai đoạn nặng, ảnh hưởng nghiêm trọng đến chất lượng cuộc sống.

Từ ca bệnh này, các bác sĩ khuyến cáo người dân không nên chủ quan với tình trạng nhìn mờ kéo dài, kể cả khi không đau hay đỏ mắt. Việc khám mắt định kỳ và thực hiện các thăm dò chuyên sâu như đo thị trường có vai trò quan trọng trong phát hiện sớm tổn thương thần kinh thị giác.

TIN CÙNG CHUYÊN MỤC
Xem theo ngày