Nhập viện vì co giật, đau đầu, nghi ngờ u não
Mới đây, Trung tâm Khám chữa bệnh theo yêu cầu và Quốc tế – Bệnh viện Bệnh Nhiệt đới Trung ương đã tiếp nhận và điều trị thành công cho bệnh nhân N.H.T (39 tuổi, Hà Nội) bị tổn thương não.
Theo thông tin từ bệnh viện, bệnh nhân nhập viện trong tình trạng đau đầu nhiều, kèm các cơn co giật. Trước đó, bệnh nhân hoàn toàn khỏe mạnh, không có bệnh lý nền đáng chú ý.
BSCKII Nguyễn Văn Phương, Phó Giám đốc Trung tâm Khám chữa bệnh theo yêu cầu và Quốc tế, cho biết khoảng 8 ngày trước khi nhập viện, bệnh nhân bất ngờ xuất hiện cơn co cứng kèm tê tay trái khi đang ở nhà.
Sau khi thăm khám ban đầu tại một cơ sở y tế, các bác sĩ ghi nhận hình ảnh tổn thương não nghi ngờ u não, đồng thời chưa loại trừ khả năng nhiễm trùng, nên bệnh nhân được chuyển đến Bệnh viện Bệnh Nhiệt đới Trung ương để tiếp tục đánh giá chuyên sâu.

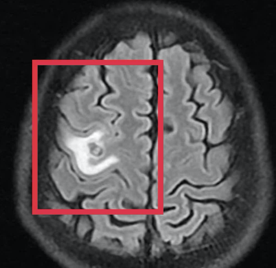
Hình ảnh tổn thương não của bệnh nhân.
Chụp MRI phát hiện tổn thương dạng nang bất thường
Tại thời điểm nhập viện, bệnh nhân tỉnh táo, không sốt, huyết động ổn định, không có dấu hiệu thần kinh khu trú rõ ràng hay hội chứng màng não. Tuy nhiên, người bệnh vẫn đau đầu nhiều và còn cảm giác tê nhẹ tay trái.
Kết quả chụp cộng hưởng từ (MRI) sọ não cho thấy một tổn thương dạng nang nhỏ tại thùy trán trái, kích thước khoảng 11 x 7 mm, xung quanh có phù não nhẹ. Hình ảnh này không điển hình cho u não nguyên phát mà hướng nhiều hơn đến tổn thương do ký sinh trùng.
Để làm rõ nguyên nhân, các bác sĩ đã chỉ định thêm các xét nghiệm huyết thanh học. Kết quả cho thấy bệnh nhân dương tính với kháng thể kháng sán dây chó – yếu tố quan trọng giúp khẳng định chẩn đoán tổn thương não do ký sinh trùng.
Sau khi xác định chính xác nguyên nhân, bệnh nhân được điều trị nội khoa theo phác đồ, kết hợp kiểm soát triệu chứng và theo dõi sát diễn biến thần kinh.
Sau khoảng 10 ngày điều trị nội trú, tình trạng bệnh nhân cải thiện rõ rệt: không còn tê tay, không xuất hiện thêm cơn co giật, hết đau đầu và chóng mặt, toàn trạng ổn định. Người bệnh được xuất viện và tiếp tục điều trị ngoại trú đủ liệu trình kéo dài 4 tuần.
Khi tái khám gần một tháng sau, kết quả chụp MRI cho thấy tổn thương não thu nhỏ rõ rệt, phù não giảm, không còn dấu hiệu tiến triển. Bệnh nhân được chỉ định thêm một đợt thuốc củng cố và theo dõi lâu dài.
Cảnh báo nguy cơ nhiễm ký sinh trùng từ thói quen ăn uống
BS Nguyễn Văn Phương cho biết nhiễm sán não không phải bệnh lý hiếm nhưng rất dễ bị bỏ sót vì triệu chứng ban đầu thường không điển hình. Người bệnh có thể chỉ xuất hiện co giật, tê yếu thoáng qua hoặc đau đầu nhẹ, dễ bị nhầm với u não hoặc tai biến mạch não.
Đáng chú ý, đường lây nhiễm không nhất thiết do tiếp xúc trực tiếp với chó, mèo mà chủ yếu liên quan đến thói quen ăn uống không đảm bảo vệ sinh như ăn rau sống, thực phẩm tái sống hoặc sử dụng nguồn nước bị nhiễm bẩn. Trứng ký sinh trùng có thể xâm nhập vào cơ thể và di chuyển lên não, gây tổn thương nguy hiểm.
Từ trường hợp trên, các bác sĩ khuyến cáo người dân không nên chủ quan với các triệu chứng thần kinh dù chỉ thoáng qua. Việc đến cơ sở y tế chuyên khoa để được chẩn đoán hình ảnh và làm xét nghiệm đầy đủ có ý nghĩa quan trọng trong phát hiện sớm bệnh, giúp điều trị đúng phác đồ và tránh các biến chứng nặng hoặc can thiệp phẫu thuật không cần thiết.
Bên cạnh đó, mỗi người cần duy trì thói quen ăn chín uống sôi, rửa tay sạch, đảm bảo vệ sinh thực phẩm để phòng ngừa hiệu quả các bệnh lý ký sinh trùng nguy hiểm.