eMagazine
Genz Area
ShowLive
GÓP Ý GIAO DIỆN MỚI
TRANG CHỦ
Star
Ciné
Musik
Beauty & Fashion
Đời sống
Money-Z
Ăn - Quẩy - Đi
Xã hội
Sức khỏe
Tek-life
Học đường
Xem Mua Luôn
Video
Đời sống
Nhân vật
Xem-Ăn-Chơi
House n Home
Xem mua luôn
Thời trang
Đẹp
Mommy mua di
Sport
Bóng đá
Hậu trường
Pickleball
Esports
Musik
Âu-Mỹ
Châu Á
Việt Nam
Hip-hop neva die
Ciné
Phim chiếu rạp
Phim Việt Nam
Series truyền hình
Hoa ngữ - Hàn Quốc
Tek-Life
Metaverse
How-To
Wow
2-Mall
Star
Sao Việt
Hội bạn thân showbiz
TV Show
Xã hội
Pháp luật
Nóng trên mạng
Sống xanh
Học đường
Nhân vật
Du học
Bản tin 46'
Thế giới đó đây
Chùm ảnh
Khám phá
Dị
Sức khỏe
Tin tức
Dinh dưỡng
Khỏe đẹp
Giới tính
Các bệnh
Nhóm chủ đề
Tải app
iOS
Android
Fanpage
Liên hệ
Quảng cáo
live
TIN TỨC VỀ sán não - san nao
sán não
Chia sẻ
0
Xóa tất cả
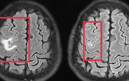
Co giật do sán não suýt nhầm lẫn với u não
Sức khỏe
-
Tổn thương não do sán khiến bệnh nhân co giật, đau đầu nhẹ - triệu chứng mờ nhạt nhưng dễ bị bỏ sót.
Bác sĩ mất 7 tiếng lấy sán não dài 10cm ký sinh 13 năm trong não, giúp chàng trai thoát khỏi bại liệt kéo dài
Sức khỏe
-
Nam thanh niên họ Trương (24 tuổi) đã bại liệt trong thời gian dài, khả năng ngôn ngữ suy giảm do có sán ký sinh trong não đến 13 năm.
Bấm để xem thêm