Bệnh nhân nam 39 tuổi (ở Hà Nội) được chuyển đến Bệnh viện Bệnh Nhiệt đới Trung ương với tổn thương não do ký sinh trùng, kèm co giật và đau đầu - những biểu hiện dễ nhầm với u não. Trước đó, bệnh nhân khỏe mạnh, không có bệnh lý nền.

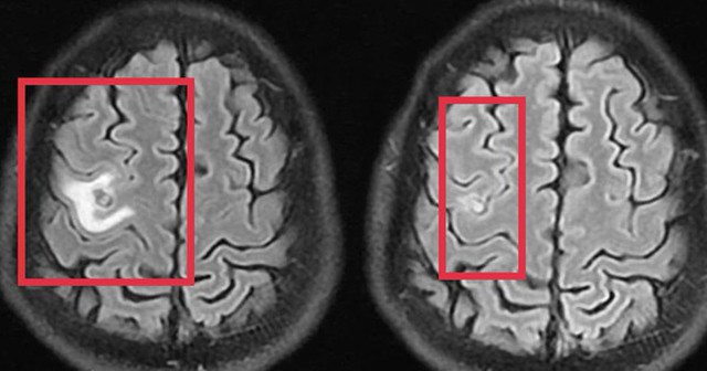
Hình ảnh ổ sán não trước và sau điều trị. Ảnh: BVCC
Bác sĩ Nguyễn Văn Phương, Phó Giám đốc Trung tâm Khám chữa bệnh theo yêu cầu và quốc tế, cho biết khoảng 8 ngày trước khi nhập viện, bệnh nhân bất ngờ xuất hiện cơn co cứng kèm tê tay trái khi đang ở nhà.
Sau thăm khám ban đầu tại một cơ sở y tế, các bác sĩ ghi nhận tổn thương nghi ngờ u não, chưa loại trừ yếu tố nhiễm trùng nên bệnh nhân được chuyển đến Bệnh viện Bệnh Nhiệt đới Trung ương để đánh giá.
Thời điểm nhập viện, bệnh nhân tỉnh táo, không sốt, không có dấu hiệu thần kinh khu trú hay hội chứng màng não. Tuy nhiên, bệnh nhân đau đầu nhiều và còn cảm giác tê nhẹ tay trái.
Chụp cộng hưởng từ sọ não phát hiện một nang nhỏ ở thùy trán trái, kích thước khoảng 11 x 7 mm, kèm phù não nhẹ. Hình ảnh gợi ý tổn thương do ký sinh trùng hơn là u não nguyên phát. Xét nghiệm huyết thanh học kháng thể kháng sán dây chó dương tính, xác định chẩn đoán tổn thương não do ký sinh trùng.
Bệnh nhân được điều trị theo phác đồ, kiểm soát triệu chứng và theo dõi sát diễn biến thần kinh. Sau 10 ngày, tình trạng cải thiện rõ rệt, bệnh nhân hết tê tay, không co giật, đau đầu hay chóng mặt biến mất, toàn trạng ổn định. Bệnh nhân xuất viện và tiếp tục điều trị ngoại trú đủ liệu trình 4 tuần.
Khi tái khám gần một tháng sau, chụp cộng hưởng từ cho thấy nang não thu nhỏ rõ, phù não giảm, không còn dấu hiệu tiến triển, đáp ứng điều trị tốt.

Thăm khám cho người bệnh. Ảnh: BVCC
Bác sĩ Phương cho biết nhiễm sán não không hiếm nhưng dễ bị bỏ sót vì triệu chứng ban đầu thường mờ nhạt. Người bệnh có thể chỉ co giật, tê yếu thoáng qua hoặc đau đầu nhẹ, dễ nhầm với u não hay tai biến mạch não.
Đường lây không nhất thiết do tiếp xúc trực tiếp với chó, mèo mà chủ yếu qua ăn uống không đảm bảo vệ sinh, như rau sống, thực phẩm tái sống hay nước nhiễm bẩn, tạo điều kiện cho trứng ký sinh trùng xâm nhập và di chuyển lên não. Các bác sĩ khuyến cáo người dân không nên chủ quan với các triệu chứng thần kinh bất thường, dù chỉ thoáng qua.