Người đàn ông 37 tuổi suýt mất nửa lá gan vì ăn cá

Nguyệt Quang, Theo Thanh Niên Việt 12:04 23/10/2025
Chia sẻ

Thịt cá ngon và bổ dưỡng nhưng nếu mắc phải lỗi sai này, bạn có thể mất đi nửa, thậm chí cả lá gan của mình.

Khoảng nửa tháng trước, người đàn ông 37 tuổi ở Trung Quốc bắt đầu thấy đau bụng, sốt cao, rét run, thân nhiệt lên tới 40 độ C. Bác sĩ tại bệnh viện địa phương chẩn đoán anh bị áp xe gan và tiến hành điều trị bằng thuốc kháng sinh, truyền dịch, chọc hút mủ. Tuy nhiên, tình trạng không thuyên giảm, cơn sốt vẫn dai dẳng, mà nguyên nhân thực sự vẫn là ẩn số.

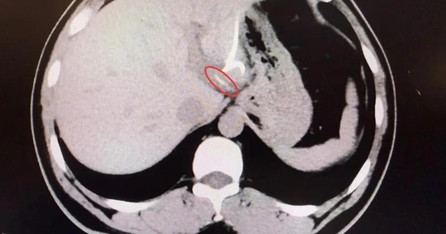
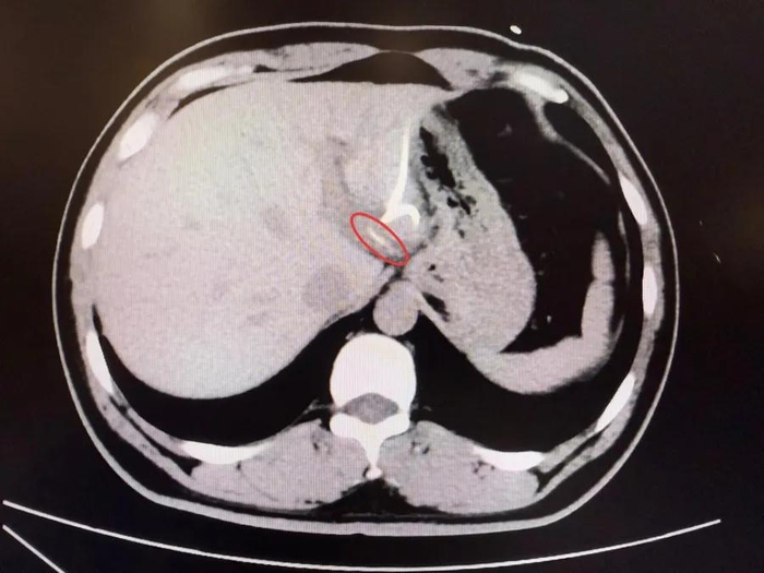
Mãi đến khi chụp CT, các bác sĩ mới phát hiện một vật thể dài, nhọn trong gan trái, gần vùng nối với dạ dày, hình dạng giống hệt… một chiếc xương cá! Hóa ra, chiếc xương này đã xuyên qua thành dạ dày, “chui” thẳng vào gan, gây nhiễm trùng và tạo ổ mủ lớn.

Người đàn ông 37 tuổi suýt mất nửa lá gan vì ăn cá- Ảnh 1.

Ban đầu, bác sĩ ngoại khoa khuyến cáo anh Lý nên cắt bỏ nửa lá gan trái để loại bỏ dị vật, nhưng đây là ca mổ lớn, rủi ro cao, nên bệnh nhân không đồng ý. Sau đó, anh được chuyển đến bệnh viện tuyến trên để mổ nội soi.

Sau hơn 3 tiếng đồng hồ, các bác sĩ đã tìm thấy chiếc xương cá dài 3,5cm, sắc nhọn như kim, cắm sâu trong gan trái. Sau ca mổ, anh Lý hồi phục tốt, nhiệt độ cơ thể trở lại bình thường, ổ áp xe dần tiêu biến và quan trọng hơn cả, anh giữ được nguyên vẹn lá gan của mình .

Các bác sĩ cảnh báo, khi chẳng may nuốt phải dị vật như xương cá, xương gà, tăm tre , tuyệt đối không nên dùng mẹo “nuốt cơm, uống giấm” như dân gian truyền miệng. Những cách này không những không giúp “làm mềm” xương mà còn khiến niêm mạc họng, thực quản và dạ dày bị tổn thương nặng hơn.

Nếu cảm thấy đau rát, khó nuốt hoặc nghi ngờ dị vật đã đi sâu vào bên trong, hãy đến bệnh viện ngay lập tức. Chỉ một chiếc xương nhỏ, nhưng có thể gây thủng ruột, áp xe gan, thậm chí vỡ mạch máu lớn và tử vong nếu xử lý chậm trễ.

Nguồn và ảnh: Weibo

TIN CÙNG CHUYÊN MỤC
Xem theo ngày