Trong 2 tuần vừa qua, tại khoa Nội tiêu hóa - Bệnh viện Nhân dân 115 ghi nhận một thực trạng đáng báo động: Người bệnh ung thư đại trực tràng đang ngày càng trẻ hóa. Đáng nói, rất nhiều bạn trẻ thế hệ 9X (27 - 35 tuổi) nhận "bản án" ung thư giai đoạn muộn chỉ từ những triệu chứng mà họ vẫn đinh ninh là do "áp lực công việc": Mệt mỏi, uể oải, da xanh xao và thỉnh thoảng đau bụng lâm râm.
Nhiều người trẻ bị ung thư đại trực tràng mà không có dấu hiệu điển hình của bệnh
Ung thư đại trực tràng không còn là câu chuyện của riêng người lớn tuổi. Thực tế xót xa này được minh chứng qua những ca bệnh rất trẻ vừa đến khám tại bệnh viện:

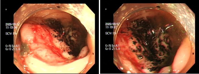
Hình ảnh qua ngã nội soi đại trực tràng. (Ảnh: BVCC)
Trường hợp đầu tiên là P.V.P.U (sinh năm 1991) đến khám chỉ vì... ông xã thấy dạo này da dẻ quá xanh xao. Bản thân U thỉnh thoảng cũng cảm thấy đau bụng nhẹ, thoáng qua nhưng lại tặc lưỡi bỏ qua vì nghĩ là rối loạn tiêu hóa thông thường. Khi thăm khám, bác sĩ phát hiện chị bị thiếu máu nặng. Ngay lập tức, chị được chỉ định nội soi đại tràng, kết quả khiến cả hai vợ chồng sững sờ: Có một khối u lớn ở đại tràng phải, bề mặt loét và rất dễ chảy máu, kết quả mô học khẳng định: Ung thư đại trực tràng.
Trường hợp thứ 2 là anh N.H.H.H (sinh năm 1995) đến viện với dáng vẻ mệt mỏi rã rời, than phiền hay bị chóng mặt kèm theo rối loạn đi cầu. Cứ nghĩ do làm việc quá sức, nhưng kết quả xét nghiệm lại báo động tình trạng thiếu máu nặng. Bác sĩ cho tiến hành nội soi đại trực tràng và phát hiện một khối u dạng vòng nhẫn đang chảy máu rỉ rả ở vùng trực tràng. Giải phẫu bệnh một lần nữa gọi tên: Ung thư trực tràng.
Trong suy nghĩ của nhiều người, ung thư ống tiêu hóa phải có dấu hiệu rầm rộ như đại tiện ra máu tươi ồ ạt, đau bụng dữ dội, sụt cân nghiêm trọng, hay sờ thấy khối u ở bụng. Tuy nhiên, qua 2 trường hợp trên, chúng ta thấy được tính âm thầm, khó nhận biết của căn bệnh này.
Người trẻ hiện đại thường xuyên đối mặt với áp lực. Khi thấy thể trạng suy nhược, luôn thiếu năng lượng, da dẻ và niêm mạc (như mi mắt, môi) nhợt nhạt, hay thỉnh thoảng đau bụng âm ĩ... họ thường tự chẩn đoán là do stress, thiếu ngủ, hoặc ăn uống thất thường. Sự chủ quan này chính là "thời gian vàng" để khối u ác tính âm thầm phát triển, vượt qua ranh giới có thể chữa khỏi.

Người trẻ hiện đại thường xuyên đối mặt với áp lực. (Ảnh minh họa: Internet)
Khi làm xét nghiệm máu cho các bệnh nhân trẻ này, bác sĩ thường thấy biểu hiện thiếu máu hồng cầu nhỏ, nhược sắc (thường do thiếu sắt). Sắt là nguyên liệu tạo nên hồng cầu để mang oxy đi nuôi cơ thể. Khi thiếu sắt, cơ thể không đủ oxy hoạt động, dẫn đến hệ quả tất yếu là chóng mặt, mệt mỏi, hụt hơi và da xanh xao. Vậy lượng sắt và máu của những người trẻ này đã biến đi đâu? Câu trả lời nằm ở các khối u trong đường tiêu hóa. Khối u đại tràng (đặc biệt là đại tràng phải) thường không gây tắc ruột ngay mà có bề mặt dễ viêm loét. Chúng tựa như những "kẻ cắp", mỗi ngày làm chảy một lượng máu rất nhỏ lẫn vào phân mà mắt thường khó nhận ra (máu ẩn trong phân). Tình trạng mất máu rỉ rả kéo dài qua nhiều tháng đã vắt kiệt lượng sắt dự trữ, gây thiếu máu nặng. Đến khi cơ thể kiệt sức báo động, bệnh nhân đi khám thì khối u thường đã lớn, xâm lấn hoặc di căn.
Tại sao ung thư đại trực tràng "nhắm" vào người trẻ?
Theo các bác sĩ tại Bệnh viện Nhân dân 115, sự gia tăng đột biến của ung thư đại trực tràng ở người dưới 40 tuổi có sự "tiếp tay" rất lớn từ lối sống hiện đại:
- Chế độ ăn "nghèo" chất xơ, tình trạng táo bón kéo dài có thể làm thay đổi môi trường vi sinh đường ruột và kéo dài thời gian tiếp xúc của niêm mạc đại tràng với các yếu tố nguy cơ, từ đó góp phần làm tăng nguy cơ tổn thương tiền ung thư.
- Chế độ ăn nhiều thức ăn nhanh, thịt đỏ, thực phẩm nướng cháy hoặc chế biến sẵn, trong khi thiếu rau xanh và trái cây, được ghi nhận là các yếu tố có thể làm tăng nguy cơ ung thư đại trực tràng.
- Lối sống ít vận động, đặc biệt là ngồi làm việc trong thời gian dài, có thể làm giảm hoạt động của nhu động ruột và góp phần làm tăng nguy cơ các bệnh lý đại trực tràng.
- Thói quen độc hại: Lạm dụng rượu bia, thuốc lá và căng thẳng (stress) kéo dài.
- Yếu tố di truyền cũng đóng vai trò trong một số trường hợp, đặc biệt ở những người có tiền sử gia đình mắc ung thư đại trực tràng hoặc polyp đại tràng.

Sự gia tăng đột biến của ung thư đại trực tràng ở người dưới 40 tuổi có sự "tiếp tay" rất lớn từ lối sống hiện đại. (Ảnh minh họa: Internet)
Làm sao để phòng tránh?
Ung thư đại trực tràng nếu được phát hiện sớm ở giai đoạn tiền ung thư hoặc u còn nhỏ khả năng điều trị triệt căn cao. Để bảo vệ bản thân, người trẻ cần nhớ:
1. Lắng nghe các dấu hiệu bất thường của cơ thể
Không nên chủ quan với tình trạng mệt mỏi kéo dài. Khi xuất hiện các biểu hiện như da xanh xao, chóng mặt, thay đổi thói quen đi tiêu (táo bón xen lẫn tiêu chảy, phân nhỏ dẹt), đau bụng âm ỉ... người bệnh nên đi khám chuyên khoa tiêu hóa để được đánh giá kịp thời.
2. Không bỏ qua các xét nghiệm cơ bản
Xét nghiệm công thức máu có thể giúp phát hiện tình trạng thiếu máu, trong khi xét nghiệm tìm máu ẩn trong phân là một phương pháp sàng lọc quan trọng, giúp bác sĩ định hướng tầm soát bệnh lý đại trực tràng.
3. Tầm soát bằng nội soi theo chỉ định của bác sĩ
Khi có chỉ định nội soi, đặc biệt là nội soi đại tràng, người bệnh nên thực hiện sớm. Nội soi tiền mê hiện nay tương đối nhẹ nhàng, an toàn và là phương pháp hiệu quả trong phát hiện sớm cũng như can thiệp các tổn thương tiền ung thư như polyp đại trực tràng.
Tuổi trẻ không đồng nghĩa với việc miễn nhiễm trước nguy cơ ung thư. Những áp lực trong cuộc sống hiện đại có thể khiến nhiều người bỏ qua các dấu hiệu cảnh báo của cơ thể. Việc chủ động thăm khám và tầm soát sớm đóng vai trò quan trọng trong phát hiện và kiểm soát bệnh hiệu quả.