Cô gái trẻ bị ung thư gan ‘đánh úp’ sau 2 tháng đau âm ỉ

Vân Sơn, Theo tienphong.vn 11:28 26/03/2026
Chia sẻ

Không triệu chứng rầm rộ, không dấu hiệu điển hình, chỉ đau nhẹ kéo dài, cô gái trẻ đã phải đối mặt với chẩn đoán ung thư gan giai đoạn muộn. Các chuyên gia cho rằng đây là kiểu diễn tiến nguy hiểm, dễ khiến cộng đồng, đặc biệt là nhóm người trẻ tuổi chủ quan bỏ lỡ thời điểm vàng.

Ngày 26/3, thông tin từ Bệnh viện Đa khoa Thủ Đức cho biết, nữ bệnh nhân N.T.B.D. (24 tuổi, ngụ phường Linh Xuân, TP.HCM) vừa được bệnh viện phẫu thuật cắt gan trái để loại bỏ khối u ung thư biểu mô tế bào gan. Trước đó khoảng hai tháng, chị D. chỉ thỉnh thoảng cảm thấy đau âm ỉ vùng dưới xương ức và hạ sườn bên phải, không kèm rối loạn tiêu hóa hay sụt cân nên chủ quan không đến bệnh viện thăm khám sớm.

Khi cơn đau ngày càng kéo dài và nặng thêm, chị D. đến khám tại phòng khám địa phương. Qua siêu âm ổ bụng, bác sĩ phát hiện tổn thương bất thường ở gan trái và khuyến cáo chuyển tuyến để kiểm tra chuyên sâu. Bệnh nhân đến Bệnh viện Đa khoa Thủ Đức và được thực hiện các xét nghiệm cần thiết.

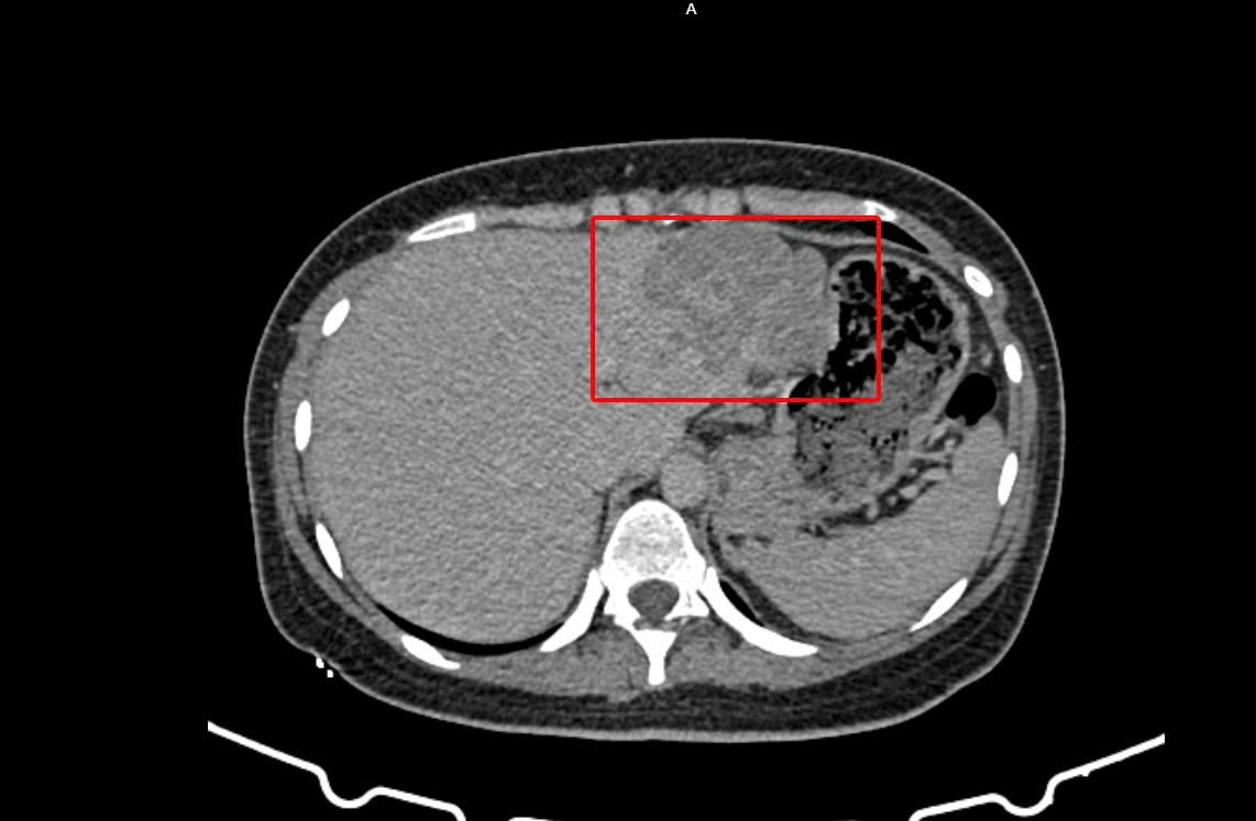
Cô gái trẻ bị ung thư gan ‘đánh úp’ sau 2 tháng đau âm ỉ- Ảnh 1.

Vùng gan bị tổn thương trên hình ảnh kiểm tra được các bác sĩ ghi nhận

Kết quả cho thấy bệnh nhân bị viêm gan siêu vi B, đồng thời chỉ số AFP (dấu ấn quan trọng trong tầm soát ung thư gan) tăng cao. Hình ảnh CT-Scan bụng có cản quang cũng ghi nhận tổn thương phù hợp với u gan, ung thư biểu mô tế bào gan.

Trước tình trạng trên, bệnh viện đã tiến hành hội chẩn đa chuyên khoa với sự tham gia của các bác sĩ Ngoại Tổng hợp, Ung bướu và Chẩn đoán hình ảnh. Hội đồng chuyên môn thống nhất chỉ định phẫu thuật cắt gan trái nhằm loại bỏ tổn thương và hạn chế nguy cơ tiến triển.

BS-CK2 Mai Hóa, Phó giám đốc Bệnh viện Đa khoa Thủ Đức cho biết, với sự hỗ trợ của các thiết bị dao siêu âm và máy cắt – nối mạch máu chuyên dụng, sau hơn 2 giờ phẫu thuật, khối u được cắt bỏ thành công. Hiện bệnh nhân đã hồi phục tốt, có thể ăn uống, đi lại và không ghi nhận biến chứng. Dự kiến, bệnh nhân sẽ tiếp tục được theo dõi để có hướng điều trị phù hợp.

Cô gái trẻ bị ung thư gan ‘đánh úp’ sau 2 tháng đau âm ỉ- Ảnh 2.

Bệnh nhân sẽ được tiếp tục theo dõi để có giải pháp điều trị phù hợp sau phẫu thuật

Theo BS-CK1 Nguyễn Lê Phú – khoa Ngoại Tổng hợp, trường hợp này cho thấy ung thư gan đang có xu hướng trẻ hóa đáng lo ngại. Ông cho biết, những người mắc viêm gan siêu vi B hoặc C, có hoặc không kèm xơ gan đều thuộc nhóm nguy cơ cao. “Ở giai đoạn sớm, bệnh thường không có triệu chứng rõ ràng hoặc chỉ biểu hiện rất mơ hồ. Nếu không tầm soát định kỳ, người bệnh rất dễ bỏ lỡ thời điểm vàng để phát hiện và điều trị” – BS Phú nhấn mạnh.

Các chuyên gia cũng cảnh báo, nếu không được chẩn đoán và can thiệp kịp thời, khối u gan có thể phát triển lớn, lan sang phần gan còn lại hoặc di căn đến các cơ quan khác. Khi đó, khả năng điều trị triệt để giảm đáng kể, chi phí điều trị tăng cao và tiên lượng xấu hơn.

Từ trường hợp bệnh nhân trẻ tuổi này, các bác sĩ khuyến cáo người dân nên duy trì thói quen khám sức khỏe định kỳ ít nhất hai lần mỗi năm. Đặc biệt, với những người có yếu tố nguy cơ như nhiễm viêm gan B, C hoặc xơ gan, cần siêu âm gan và xét nghiệm máu định kỳ mỗi 3–6 tháng để theo dõi.

Khi xuất hiện các dấu hiệu bất thường, dù rất nhẹ như đau âm ỉ vùng bụng trên, mệt mỏi kéo dài hay chán ăn, người bệnh cũng không nên chủ quan. Các phương pháp chẩn đoán hình ảnh chuyên sâu như CT scan hoặc MRI sẽ giúp phát hiện sớm tổn thương, từ đó đưa ra hướng điều trị phù hợp.

TIN CÙNG CHUYÊN MỤC
Xem theo ngày