Chàng trai 20 tuổi bị thủng hơn 10 lỗ ở phổi sau khi nặn mụn!

Mỹ Diệu, Theo Thanh Niên Việt 21:04 23/11/2025
Chia sẻ

Từ một nốt mụn mưng mủ, cậu sinh viên phải đối mặt với nhiễm khuẩn huyết và lá phổi bị “ăn” tới hơn 10 ổ rỗng.

Với người trẻ, chuyện nổi vài nốt mụn khi căng thẳng hay mất ngủ gần như quá quen thuộc. Nhiều bạn thậm chí còn coi việc “thấy là nặn” như phản xạ tự nhiên.

Thế nhưng mới đây, câu chuyện một nam sinh 20 tuổi ở Trung Quốc phải vào Khoa Hồi sức tích cực (ICU) sau khi nặn một nốt mụn tưởng như vô hại đã khiến mạng xã hội xôn xao. Từ một nốt mụn mưng mủ, cậu sinh viên phải đối mặt với nhiễm khuẩn huyết và lá phổi bị “ăn” tới hơn 10 ổ rỗng.

Nhiều người thốt lên: “Giờ mới biết trước giờ mình may mắn đến mức nào!”.

Nhân vật chính là Tiểu Lâm, sinh viên năm 2. Thời gian ôn thi căng thẳng khiến cậu mất ngủ nhiều đêm. Một buổi sáng, Lâm soi gương thấy trên mặt xuất hiện nốt mụn đỏ cỡ hạt đậu. “Vừa đỏ vừa sưng, nhìn ngứa mắt quá nên em bóp luôn”, cậu kể lại.

Lâm nặn mụn khi chưa rửa tay, mủ trào ra khiến cậu nghĩ rằng mình đã “xử lý xong”.

Nhưng vài ngày sau, nốt mụn vẫn viêm, mặt càng đau. Đi kèm là sốt, ho, đờm nhiều, uống thuốc hạ sốt chỉ giảm được lúc đầu rồi lại sốt trở lại. Đến ngày thứ ba, cơn đau ngực dưới bên phải khiến cậu thở sâu cũng khó khăn.

Chàng trai 20 tuổi bị thủng hơn 10 lỗ ở phổi sau khi nặn mụn!- Ảnh 1.

Chàng trai 20 tuổi bị thủng hơn 10 lỗ ở phổi sau khi nặn mụn!- Ảnh 2.

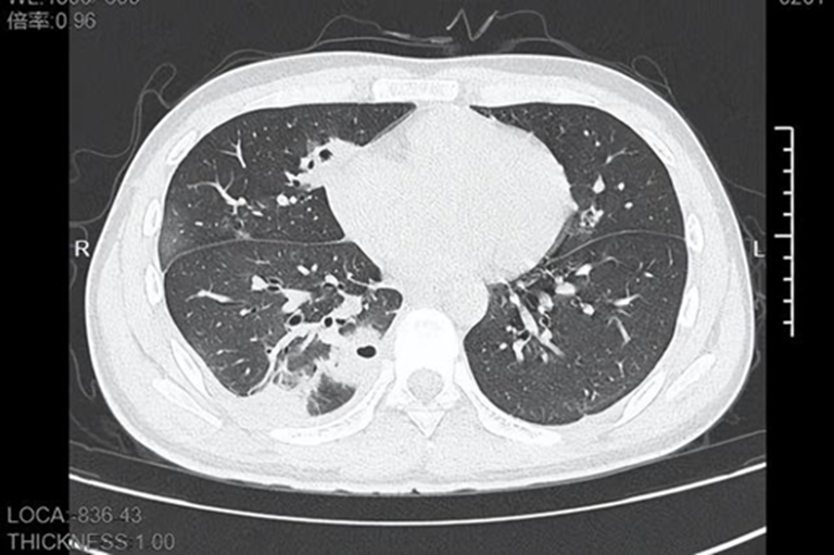
Khi tới bệnh viện, thân nhiệt Lâm đã chạm 39 độ C. CT ngực cho thấy bên trong phổi xuất hiện hơn 10 hốc rỗng , một số vùng mô phổi đã hoại tử, biểu hiện điển hình của áp-xe phổi do vi khuẩn từ đường máu .

Xét nghiệm cho thấy thủ phạm là tụ cầu vàng (Staphylococcus aureus), loại vi khuẩn sống ngay trên bề mặt da của hầu hết mọi người.

Bác sĩ cho biết: “Chính nốt mụn đó là điểm xuất phát. Nó nằm ở khu vực tam giác nguy hiểm vùng mặt. Khi bị nặn mạnh, vi khuẩn theo máu đi thẳng vào tuần hoàn, gây nhiễm khuẩn huyết rồi tấn công phổi”.

May mắn là bệnh nhân còn trẻ, đáp ứng điều trị tốt. Sau 12 ngày truyền kháng sinh, Lâm đã được xuất viện.

Vì sao nặn mụn lại có thể gây nhiễm trùng nặng?

Khu vực từ sống mũi đến hai khoé miệng được gọi là “tam giác chết” . Đây là vùng đặc biệt vì các tĩnh mạch không có van ngăn dòng chảy ngược . Nghĩa là khi tạo áp lực mạnh (như nặn mụn), vi khuẩn rất dễ bị đẩy vào máu.

Nặn mụn trong vùng này đồng thời gây ra hai rủi ro:

- Da đang viêm sẵn : nặn sẽ phá vỡ lớp bảo vệ, khiến dịch mủ chứa vi khuẩn tràn vào mao mạch.

- Áp lực nặn quá mạnh : vi khuẩn bị ép vào lòng mạch, rồi theo máu đi khắp cơ thể.

Tùy đường lan truyền, vi khuẩn có thể:

- Lên não gây viêm màng não, áp-xe não.

- Vào phổi gây áp-xe như trường hợp của Lâm.

- Lan đến gan, tim hoặc gây sốc nhiễm khuẩn nguy hiểm tính mạng.

Ngay cả khi điều trị khỏi, mô phổi bị tổn thương nặng có thể để lại sẹo xơ, làm giảm chức năng hô hấp về lâu dài.

Khi nào nốt mụn trở thành dấu hiệu nguy hiểm?

Bác sĩ khuyến cáo không nên nặn mụn, đặc biệt trong “tam giác nguy hiểm”. Làn da có khả năng tự phục hồi, nhưng việc can thiệp mạnh tay thường khiến vùng viêm nặng hơn hoặc nhiễm trùng lan rộng.

Một số lưu ý:

- Không sờ tay lên mặt : tay chứa rất nhiều vi khuẩn.

- Tránh dùng sản phẩm quá cay nóng, quá mạnh vì dễ làm tổn thương hàng rào da.

Nếu xuất hiện các biểu hiện như đau tăng nhanh; vùng đỏ lan rộng; sốt, mệt, rét run; đau ngực, ho, khó thở phải đến bệnh viện ngay , tránh biến chứng nặng.

Nguồn và ảnh: Sina

TIN CÙNG CHUYÊN MỤC
Xem theo ngày