Bé sơ sinh bị u não, bác sĩ cảnh báo dấu hiệu cần nhập viện ngay

Vân Sơn, Theo tienphong.vn 13:07 11/04/2026
Chia sẻ

TPO - Ngày 11/4, TS.BS Trần Minh Huy, khoa Ngoại Thần kinh, Bệnh viện Nhi đồng 1 TPHCM cho biết, tại đây vừa điều trị thành công một trường hợp bệnh nhi 7 tháng tuổi mắc khối u não hiếm gặp, nằm ở vị trí rất sâu trong não.

Bệnh nhi T.G.K. (3 tháng tuổi, quê Đồng Tháp) được gia đình đưa đến bệnh viện thăm khám khi thấy đầu to dần bất thường. Bên cạnh đó, trẻ thường xuyên nôn ói sau bú và có dấu hiệu mắt nhìn xuống. Theo BS Huy, đây đều là những biểu hiện gợi ý tình trạng tăng áp lực trong sọ nguy hiểm ở trẻ nhỏ.

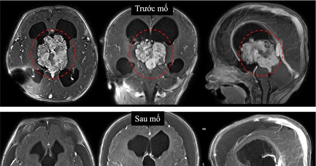
Vị trí khối u trong não của bệnh nhi trước và sau phẫu thuật

Qua thăm khám, bác sĩ ghi nhận vòng đầu của bé lớn hơn bình thường, thóp căng phồng. Siêu âm qua thóp phát hiện có khối u nằm trong não, gây chèn ép làm não bị giãn. Đây là tình trạng bệnh thường gọi là não úng thủy. Kết quả chụp cộng hưởng từ sau đó xác định khối u nằm ở não thất III, một “khoang” nằm sâu gần trung tâm não, nơi chứa dịch não tủy.

Theo phân tích của BS Huy, vị trí này đặc biệt nguy hiểm vì xung quanh là nhiều cấu trúc thần kinh và mạch máu quan trọng. Việc can thiệp phẫu thuật vì thế luôn tiềm ẩn rủi ro cao, nhất là với bệnh nhi còn quá nhỏ. Kết quả xét nghiệm mô bệnh học cho thấy đây là u đám rối mạch mạc không điển hình độ 2, một dạng u hiếm gặp của hệ thần kinh trung ương.

Trước nguy cơ phẫu thuật sớm có thể gây biến chứng, các bác sĩ và gia đình đã thống nhất đặt ống dẫn lưu từ não xuống ổ bụng để giảm áp lực tạm thời, giúp bé ổn định và chờ thời điểm phù hợp hơn để mổ. Tuy nhiên, chỉ sau 3 tháng, khối u phát triển nhanh, kích thước tăng gấp nhiều lần. Trước diễn tiến nguy hiểm này, các bác sĩ buộc phải quyết định phẫu thuật sớm để cứu bệnh nhi.

Sau cuộc mổ, sức khỏe của bệnh nhi đang bình phục khả quan

Ca mổ kéo dài suốt 6 giờ, ê kíp bác sĩ đã đối mặt với thử thách lớn khi khối u có kích thước tới 6cm, nằm sâu trong não và có nhiều mạch máu nuôi. Với trẻ nhỏ, nguy cơ mất máu và biến chứng trong mổ càng cao. Ê kíp phải phối hợp chặt chẽ giữa nhiều chuyên khoa, từ phẫu thuật, gây mê đến hồi sức. Nỗ lực của các bác sĩ đã bóc tách thành công khối u cho trẻ, sau phẫu thuật, sức khỏe bệnh nhi đang phục hồi khả quan.

Qua trường hợp trên, bác sĩ khuyến cáo phụ huynh cần đặc biệt lưu ý những dấu hiệu bất thường ở trẻ nhỏ như đầu to nhanh, thóp phồng, nôn ói kéo dài hoặc mắt nhìn xuống. Đây có thể là biểu hiện của các bệnh lý não nghiêm trọng, cần được phát hiện sớm để can thiệp kịp thời. Việc chẩn đoán và điều trị sớm không chỉ giúp tăng cơ hội khỏi bệnh mà còn hạn chế tối đa các biến chứng ảnh hưởng đến sự phát triển lâu dài của trẻ.

TIN CÙNG CHUYÊN MỤC
Xem theo ngày