eMagazine
Genz Area
ShowLive
GÓP Ý GIAO DIỆN MỚI
TRANG CHỦ
Star
Ciné
Musik
Beauty & Fashion
Đời sống
Money-Z
Ăn - Quẩy - Đi
Xã hội
Sức khỏe
Tek-life
Học đường
Xem Mua Luôn
Video
Đời sống
Nhân vật
Xem-Ăn-Chơi
House n Home
Xem mua luôn
Thời trang
Đẹp
Đồ gia dụng
Sport
Bóng đá
Hậu trường
Pickleball
Esports
Musik
Âu-Mỹ
Châu Á
Việt Nam
Hip-hop neva die
Ciné
Phim chiếu rạp
Phim Việt Nam
Series truyền hình
Hoa ngữ - Hàn Quốc
Tek-Life
Metaverse
How-To
Wow
2-Mall
Star
Sao Việt
Hội bạn thân showbiz
TV Show
Xã hội
Pháp luật
Nóng trên mạng
Sống xanh
Học đường
Nhân vật
Du học
Bản tin 46'
Thế giới đó đây
Chùm ảnh
Khám phá
Dị
Sức khỏe
Tin tức
Dinh dưỡng
Khỏe đẹp
Giới tính
Các bệnh
Nhóm chủ đề
Tải app
iOS
Android
Fanpage
Liên hệ
Quảng cáo
live
TIN TỨC VỀ bảo vê con - bao ve con
bảo vê con
bảo vê con
Chia sẻ
0
Xóa tất cả
Tôi RÙNG MÌNH khi đọc vụ việc có thật này: Bi kịch đôi khi đến từ những người con chúng ta gọi là "bạn"!
Học đường
-
Vì 4 chữ "đồ bị hiếp dâm", đứa trẻ đã chọn cách kết thúc cuộc đời mình.
Một chiếc ghế thổi bùng tranh cãi: Bạn chọn làm "mẹ ích kỉ" để bảo vệ con hay chịu thiệt để làm vừa lòng người xa lạ?
Đời sống
-
Cách cha mẹ ứng xử trong khoảnh khắc nhỏ đó chính là bài học lớn nhất để con hiểu: lòng tốt không đi kèm sự phục tùng!
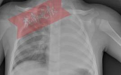
Phổi trái của bé trai 1 tuổi "biến mất", thủ phạm bất ngờ là món ăn thường xuất hiện vào dịp Tết, phụ huynh cần cảnh giác
Học đường
-
Cha mẹ cần hết sức lưu tâm để tránh những nguy hiểm tiểm ẩn có thể xảy ra đối với con em mình.
Không khí ngày càng ô nhiễm, tôi thực sự lo lắng khi nghĩ đến tương lai của con
Học đường
-
Ô nhiễm không khí thực sự đáng sợ với sức khỏe của những đứa trẻ.
Con bị bỏng nước sôi, mẹ bị cả nhà mắng vì sơ cứu suốt 1 tiếng
Học đường
-
Trẻ bị bỏng nước sôi là một trong những tai nạn phổ biến tại nhà mà nhiều cha mẹ sợ nhất.
"Con kể mẹ nghe 1 bí mật" - Bà mẹ toát mồ hôi sau lời nói của đứa trẻ 3 tuổi, vội đưa con đi cấp cứu ngay trong đêm
Học đường
-
Sau khi nghe lời tâm sự của con, người mẹ vô cùng hốt hoảng và phải đưa trẻ lập tức đến bệnh viện.
Tin nổi bật kenh 14
Thế giới này vẫn thật đáng sống, vì luôn có những người bình thường không quay lưng với tiếng kêu cứu
Bảo Tín Minh Châu mở cửa trở lại vào đúng 12h trưa 26/3: Khách vẫn xếp kín từ trước giờ giao dịch, mang theo phiếu chờ lấy vàng
Diễn biến đội tuyển Việt Nam đấu với Bangladesh: VÀO! 1-0 cho Việt Nam
Drama hút mỡ 70 triệu vẫn căng thẳng: Nữ chính gửi đơn tố cáo, loạt clip giải thích của bác sĩ đồng loạt "bốc hơi"
Sự thật về con số 260.000 người tham gia concert miễn phí của BTS: Chính quyền Seoul như "dằn mặt" HYBE
Tham vọng của Harry Potter bản truyền hình: Tái hiện loạt chi tiết bị bỏ quên, fan nguyên tác có lý do để chờ đợi
JustaTee tranh thủ đưa vợ đi đẻ để ra nhạc đấy à, chỉ 1 chi tiết hé lộ ngay thái độ!
“Nàng thơ” sinh con với thiếu gia không được nhìn nhận, muốn gửi ảnh con thì bị chặn
Khoảnh khắc nghẹt thở: Hàng chục người "bắc cầu sinh tử" giữa biển lửa cứu 7 người ở Lĩnh Nam
Hành động vô tình của bố mẹ khiến trẻ có nguy cơ bị bắt cóc
Học đường
-
Trong bối cảnh mạng xã hội ngày càng phát triển, nhiều phụ huynh có xu hướng cập nhật hình ảnh, thông tin của con mình trên Internet.
6 bức ảnh của con không nên công khai trên mạng xã hội
Học đường
-
Dù rất muốn khoe con nhưng có những khoảnh khắc cha mẹ tốt nhất là không nên chia sẻ trên các trang mạng xã hội.
Đăng "tất tần tật" thông tin cá nhân của học viên lên mạng: Đừng vì lợi ích mà bỏ qua rủi ro tiềm ẩn
Học đường
-
Chị Tú Anh khuyên đừng để trẻ em vô tình vướng phải những rắc rối chỉ vì thông tin cá nhân và hình ảnh của bé bị đăng công khai để ai cũng biết.
Làm thế nào để bảo vệ con trên không gian mạng?
Học đường
-
Là cha mẹ, bạn phải thật sự cảnh giác và hướng dẫn con cách lướt web, kết bạn đúng đắn. Kiểm soát điện thoại di động chỉ là giải pháp tạm thời, không phải nguyên nhân gốc rễ.
Bấm để xem thêm