AI - 'con mắt thứ ba' giúp bác sĩ phát hiện sớm ung thư từ dấu hiệu nhỏ

V.LINH/VTC News, Theo vtcnews.vn 17:05 19/12/2025
Chia sẻ

Trí tuệ nhân tạo (AI) đang tạo nên những đột phá mới trong lĩnh vực y tế, đặc biệt là trong việc chẩn đoán sớm các bệnh ung thư.

Bệnh viện 19-8 (Bộ Công an) vừa tiếp nhận bệnh nhân ngoài 50 tuổi đến khám trong tình trạng liên tục đau bụng, thỉnh thoảng đại tiện ra máu. Các bác sĩ khoa Nội tiêu hóa thực hiện nội soi dạ dày, đại trực tràng, với sự hỗ trợ của công nghệ AI (trí tuệ nhân tạo).

AI "đọc" ra tổn thương của người bệnh là u tân sinh. Bệnh nhân được cắt bỏ tổn thương có kích thước 20mm ngay trong quá trình nội soi. Kết quả giải phẫu bệnh sau cắt phù hợp với chẩn đoán ban đầu: bệnh nhân bị u ống tuyến kèm loạn sản độ cao, tiền ung thư đại trực tràng.

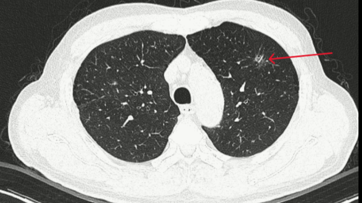
AI - 'con mắt thứ ba' giúp bác sĩ phát hiện sớm ung thư từ dấu hiệu nhỏ- Ảnh 1.

AI giúp bác sĩ phát hiện sớm ung thư từ những dấu hiệu mờ nhạt.

Bác sĩ Nguyễn Việt Dũng, Trưởng khoa Nội tiêu hóa của bệnh viện cho biết đường tiêu hóa là một trong những bệnh chiếm tỷ lệ cao nhất tại Việt Nam, nên bệnh viện đã triển khai ứng dụng AI trong chẩn đoán, nội soi tiêu hóa nhằm phát hiện sớm tổn thương đường tiêu hóa, đặc biệt phát hiện từ giai đoạn tiền ung thư từ năm 2022.

Trong nội soi tiêu hóa, hình ảnh rất quan trọng. Với những tổn thương nhỏ, vị trí khó, nếu quan sát bằng mắt thường, bác sĩ có nguy cơ bỏ sót. Hiện tỷ lệ bỏ sót các trường hợp ung thư đường tiêu hóa trên nội soi khoảng 11,3%. AI giống như "con mắt thứ 3" hỗ trợ bác sĩ tránh bỏ sót tổn thương, giúp phát hiện tổn thương nhỏ hoặc ở vị trí khó quan sát, giúp nâng cao tỷ lệ phát hiện, tránh bỏ sót tổn thương, góp phần đáp ứng nhu cầu tầm soát, sàng lọc polyp và tầm soát ung thư lên tới trên 95%.

AI cũng hỗ trợ bác sĩ đọc và phân loại được tổn thương cho người bệnh. Điều này càng có ý nghĩa hơn trong bối cảnh bác sĩ tiêu hóa tại Việt Nam đang phải chịu đựng áp lực guồng làm việc rất lớn khi thực hiện hàng chục ca nội soi tiêu hóa mỗi ngày. Sự hỗ trợ của AI giống như người bạn song hành, báo hiệu cho bác sĩ có bỏ sót tổn thương hay không.

Tại Bệnh viện Bạch Mai, nam bệnh nhân ở Ninh Bình được AI phát hiện tổn thương thùy phổi phải và nguy cơ ung thư ác tính. Bệnh nhân đến khám tổng thể, không có dấu hiệu gì điển hình, ngay khi chụp X quang cũng chỉ phát hiện có đám mờ ở phổi.

Dù được làm thêm các xét nghiệm cận lâm sàng khác như nội soi phế quản, cuống họng... cũng chưa có gì đáng chú ý. Tuy nhiên, khi đưa các chỉ số của bệnh nhân vào phần mềm và AI hỗ trợ phân tích cho thấy, bệnh nhân được xác định bị tổn thương ở thùy phổi phải và nguy cơ ung thư ác tính.

Từ gợi ý đó, bác sĩ quyết định cho bệnh nhân chụp CT lồng ngực. Kết quả đúng như phân tích, máy tự động đọc và nhận diện ra tổn thương với đám mờ phổi chính là triệu chứng thời kỳ đầu của ung thư phổi.

Bệnh viện Hùng Vương (TP.HCM) sử dụng công nghệ CerviCare AI để tầm soát ung thư cổ tử cung. Đây là kỹ thuật mới, giúp tầm soát ung thư cổ tử cung mà không phải thực hiện kỹ thuật Pap smear quen thuộc.

Ngay sau khi thực hiện tầm soát, các chị em nhận được hình ảnh soi cổ tử cung, AI thông báo ngay kết quả. Theo PGS.TS Hoàng Quốc Cường (Hội Thầy thuốc trẻ Việt Nam), AI sàng lọc ung thư cổ tử cung có độ nhạy lên đến 98%.

AI - 'con mắt thứ ba' giúp bác sĩ phát hiện sớm ung thư từ dấu hiệu nhỏ- Ảnh 3.

AI được ví như "con mắt thứ ba" phát hiện ung thư.

Một số bệnh viện lớn và trung tâm nghiên cứu cũng tiên phong trong việc sử dụng trí tuệ nhân tạo để nâng cao chất lượng chăm sóc sức khỏe và cải thiện quy trình quản lý bệnh nhân. Các bệnh viện lớn như Bệnh viện Bạch Mai, Bệnh viện Chợ Rẫy, Bệnh viện Trung ương Huế, Bệnh viện K... sử dụng các hệ thống trí tuệ nhân tạo trong việc phân tích hình ảnh y khoa và hỗ trợ chẩn đoán. Các hệ thống này giúp bác sĩ phát hiện sớm các dấu hiệu của ung thư, bệnh tim mạch, và các bệnh lý thần kinh thông qua phân tích dữ liệu từ các hình ảnh X-quang, CT scan, và MRI.

Giáo sư Mai Trọng Khoa - Phó Chủ tịch Hội Điện Quang và Y học hạt nhân Việt Nam, nguyên Phó Giám đốc Bệnh viện Bạch Mai cho biết, tại Việt Nam, ứng dụng AI là lĩnh vực mới, hiện có vai trò chẩn đoán nhiều bệnh lý khác nhau, đặc biệt là ung thư, từ đó giúp cho việc đưa ra các quyết định điều trị được chính xác, kịp thời, hiệu quả.

“Chẩn đoán hình ảnh là lĩnh vực hàng đầu ứng dụng AI. AI giúp chẩn đoán nhanh và chính xác hơn nhờ khả năng tích hợp dữ liệu đa chiều ” - GS Khoa phân tích.

Công nghệ này cũng giúp phát hiện sớm ung thư gan qua CT-scan hoặc cộng hưởng từ, chẩn đoán tổn thương nội soi chính xác hơn, đồng thời giảm sai sót trong phân tích giải phẫu bệnh. AI còn được ứng dụng trong các ứng dụng trên smartphone để hỗ trợ bệnh nhân quản lý các bệnh mãn tính như tiểu đường, tăng huyết áp và viêm gan B.

TIN CÙNG CHUYÊN MỤC
Xem theo ngày