Phân tích y khoa vụ thiếu niên tử vong sau xô xát tại quán bida ở Quảng Trị

Hoàng Nam, Theo tienphong.vn 17:04 11/12/2025
Chia sẻ

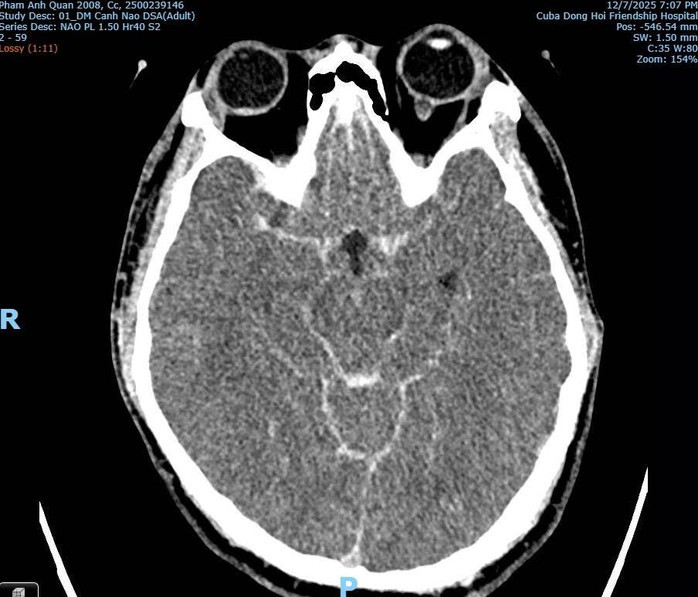
Kết quả hình ảnh CT Scan cho thấy dấu hiệu điển hình của xuất huyết dưới nhện, nạn nhân có thể tử vong do vỡ phình mạch não bẩm sinh, không phải do tác động ngoại lực.

Camera an ninh ghi lại cảnh xô xát, dẫn đến cái chết của Q.

Nghi phình mạch máu não bẩm sinh

Sau vụ xô xát tại quán bida ở phường Ba Đồn (Quảng Trị) khiến Phạm Anh Q. (16 tuổi) tử vong, nhiều ý kiến cho rằng nạn nhân chết do bị tác động mạnh từ bên ngoài. Tuy nhiên, bác sĩ chuyên khoa chẩn đoán hình ảnh của Bệnh viện Hữu nghị Việt Nam - Cuba Đồng Hới đã đưa ra nhận định ban đầu theo hướng hoàn toàn khác.

Phân tích y khoa vụ thiếu niên tử vong sau xô xát tại quán bida ở Quảng Trị- Ảnh 1.

Hình ảnh thể hiện co thắt mạch máu não do xuất huyết não và vỡ phình mạch.

Trao đổi với phóng viên, bác sĩ Nguyễn Đức Hùng, Trưởng khoa Chẩn đoán hình ảnh cho biết, sau khi xem kỹ video vụ việc và phân tích hình ảnh CT Scan vùng cổ - não của bệnh nhân, nhiều khả năng Q. tử vong do vỡ phình mạch máu não bẩm sinh , một dị dạng mạch não sâu và thường chỉ được phát hiện qua chẩn đoán chuyên sâu.

“Phình mạch não giống như cái săm xe đạp phồng lên. Chỉ cần huyết áp tăng đột ngột, túi phình có thể vỡ bất kỳ lúc nào. Khi xô xát, huyết áp và nhịp tim của cháu tăng mạnh, gây tăng áp lực nội sọ và làm phình mạch vỡ” - bác sĩ Hùng phân tích.

Ông cho biết thêm, tư thế ngã của nạn nhân trong clip thể hiện đầu rơi tự do, không có phản xạ tự vệ. Điều này thường xuất hiện khi não đã xuất huyết, người bệnh mất khả năng kiểm soát vận động trước khi tiếp đất.

Hình ảnh chuyên môn phủ nhận tác động ngoại lực mạnh

Theo bác sĩ Hùng, hình ảnh chẩn đoán không ghi nhận tổn thương xương cột sống cổ, tổn thương hộp sọ, tổn thương não do lực đánh trực tiếp. Ngược lại, chỉ thấy xuất huyết dưới nhện, phù não lan tỏa, dấu hiệu điển hình của vỡ phình mạch bẩm sinh, không phải chấn thương do bị đánh.

Phân tích y khoa vụ thiếu niên tử vong sau xô xát tại quán bida ở Quảng Trị- Ảnh 2.

Xuất huyết dưới nhện do vỡ phình mạch máu não của bệnh nhân Q.

Trong clip, sau khi ngã, nạn nhân có biểu hiện co giật, phù hợp với tổn thương não cấp tính. “Đây là đánh giá cá nhân dưới góc độ chuyên môn hình ảnh. Kết luận cuối cùng phải từ giám định pháp y. Tôi mong sự thật được xác định đúng theo căn cứ khoa học” - bác sĩ Hùng nói.

Như Báo Tiền Phong đã thông tin, khoảng 15 giờ 25 phút ngày 7/12, tại quán bida Sky Billiard Club Cafe (phường Ba Đồn), Nguyễn An Bảo Chinh (SN 2007) và Phạm Anh Q. xảy ra mâu thuẫn dẫn đến xô xát. Q. ngã bất tỉnh tại chỗ, được đưa đi cấp cứu nhưng tử vong vào ngày 8/12. Chinh bị thương nhẹ.

Cơ quan CSĐT Công an tỉnh Quảng Trị đã tạm giữ hình sự Chinh để phục vụ điều tra nguyên nhân. Được biết cả hai là bạn bè, thường xuyên chơi chung.

TIN CÙNG CHUYÊN MỤC
Xem theo ngày