Người phụ nữ trẻ suýt mất mạng sau 3 ngày tự điều trị đau bụng

Vân Sơn, Theo tienphong.vn 20:43 20/01/2026
Chia sẻ

Bệnh khởi phát bằng một cơn đau bụng âm ỉ tưởng chừng vô hại, người phụ nữ 31 tuổi ở Tây Ninh không ngờ việc tự uống thuốc rối loạn tiêu hóa tại nhà khiến bệnh âm thầm diễn tiến nặng. Ba ngày sau, chị rơi vào tình trạng nguy kịch vì nhiễm trùng đường mật.

Ngày 20/1, BS-CKII Nguyễn Vũ An, Trưởng khoa Ngoại Tổng quát Bệnh viện Đa khoa Xuyên Á cho biết, tại đây vừa tiếp nhận, cấp cứu một trường hợp rơi vào nguy kịch sau khi tự ý điều trị đau bụng. Bệnh nhân là chị T.T.Đ. (31 tuổi, ngụ Tây Ninh).

Theo người nhà, 3 ngày trước khi nhập viện, chị Đ. bắt đầu đau âm ỉ vùng bụng trên, kèm buồn nôn và khó chịu sau ăn.

Người phụ nữ trẻ suýt mất mạng sau 3 ngày tự điều trị đau bụng- Ảnh 1.

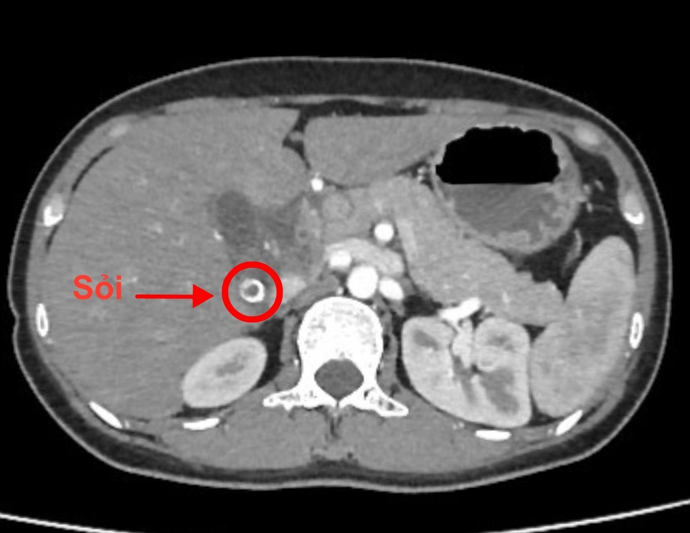
Trên hình ảnh chụp CT, các bác sĩ phát hiện túi mật bệnh nhân chứa đầy sỏi

Nghĩ chỉ là rối loạn tiêu hóa thông thường, chị Đ. tự mua thuốc uống tại nhà. Tuy nhiên sau 3 ngày, cơn đau của bệnh nhân không giảm mà ngày càng dữ dội, xuất hiện thêm triệu chứng nôn ói liên tục, ớn lạnh, mệt lả... Khi cơ thể gần như kiệt sức, gia đình mới đưa chị đến bệnh viện cấp cứu.

Tại đây, các bác sĩ ghi nhận tình trạng người bệnh diễn tiến nhanh, có dấu hiệu nhiễm trùng nặng. Kết quả xét nghiệm cho thấy men gan và bạch cầu đều tăng cao. Hình ảnh chụp MSCT phát hiện sỏi ống mật chủ gây giãn đường mật trong và ngoài gan, kèm túi mật căng to, chứa nhiều sỏi. Đây là tình trạng nguy hiểm, có thể dẫn đến nhiễm trùng huyết, suy gan nếu không xử trí kịp thời.

Theo BS Vũ An, người bệnh nhập viện trong tình trạng nhiễm trùng đường mật rõ rệt. Nếu tiếp tục chậm trễ, nguy cơ sốc nhiễm trùng, suy đa cơ quan và tử vong là rất cao.

Ngay sau khi tiếp nhận, ê kíp bác sĩ đã khẩn trương điều trị nội khoa, kiểm soát nhiễm trùng, đồng thời chuẩn bị phương án can thiệp ngoại khoa.

Người phụ nữ trẻ suýt mất mạng sau 3 ngày tự điều trị đau bụng- Ảnh 2.

Các bác sĩ thực hiện cuộc phẫu thuật cắt túi mật cho người bệnh

Sau hội chẩn, các bác sĩ quyết định thực hiện phẫu thuật nội soi mở ống mật chủ lấy sỏi kết hợp cắt túi mật. Đây là kỹ thuật khó trong ngoại khoa tiêu hóa, đòi hỏi phẫu thuật viên có kinh nghiệm và sự phối hợp chặt chẽ giữa các chuyên khoa. So với mổ hở truyền thống, phương pháp nội soi ít xâm lấn hơn, vết mổ nhỏ chỉ khoảng 1 cm, giúp giảm đau, hạn chế biến chứng nhiễm trùng, rút ngắn thời gian nằm viện và phục hồi nhanh cho người bệnh.

Nhờ hệ thống camera nội soi phóng đại, các bác sĩ có thể quan sát rõ đường mật, thao tác chính xác ngay cả khi sỏi nằm sâu. Sau gần hai giờ phẫu thuật, ê kíp đã lấy ra hàng chục viên sỏi kích thước từ 0,7 đến 0,9 cm nằm ở đoạn cuối ống mật chủ và trong gan trái.

Các bác sĩ đặt ống dẫn lưu và cắt bỏ túi mật. Sau can thiệp, tình trạng sức khỏe của người bệnh đang bình phục tốt.

Người phụ nữ trẻ suýt mất mạng sau 3 ngày tự điều trị đau bụng- Ảnh 3.

Hàng chục viên sỏi được bác sĩ lấy ra khỏi cơ thể người bệnh

Theo các bác sĩ, sỏi ống mật chủ là bệnh lý đặc biệt nguy hiểm vì dễ bị nhầm lẫn với rối loạn tiêu hóa thông thường. Khác với sỏi túi mật, sỏi ống mật chủ có thể gây tắc mật cấp, nhiễm trùng đường mật, viêm tụy cấp, suy gan và trong những trường hợp nặng có thể dẫn đến nhiễm trùng huyết, sốc nhiễm trùng đe dọa tính mạng.

Đáng lo ngại, bệnh đang có xu hướng trẻ hóa, liên quan đến lối sống ít vận động, chế độ ăn nhiều dầu mỡ, thức ăn nhanh và rối loạn chuyển hóa.

Từ trường hợp trên, các bác sĩ khuyến cáo người dân không nên chủ quan khi có các triệu chứng đau vùng thượng vị hoặc hạ sườn bên phải, đầy bụng, khó tiêu kéo dài, buồn nôn, mệt mỏi không rõ nguyên nhân. Đặc biệt, khi xuất hiện sốt, ớn lạnh, vàng da hoặc cơn đau ngày càng tăng, người bệnh đến ngay cơ sở y tế có chuyên khoa ngoại – tiêu hóa để được thăm khám và điều trị kịp thời. Việc tự ý dùng thuốc có thể làm che lấp triệu chứng khiến bệnh tiến triển nặng và bỏ lỡ thời điểm can thiệp hiệu quả nhất.

TIN CÙNG CHUYÊN MỤC
Xem theo ngày