Vào tối ngày 18/4 vừa qua, A Minh (24 tuổi, sống tại Phúc Châu, Trung Quốc) bàng hoàng nhận ra mắt phải của mình đột ngột tối sầm lại dù không bị tác động mạnh nào. Chỉ trong chớp mắt, mọi ánh sáng đều biến mất, để lại một nỗi sợ hãi tột độ. A Minh lập tức nhờ người đưa đến bệnh viện. Trong lòng anh nóng như lửa đốt:"Nếu không đi ngay, có lẽ mình sẽ mù lòa mãi mãi".
Tại bệnh viện, các bác sĩ cấp cứu nhận định mắt phải của chàng trai trẻ hoàn toàn mất khả năng nhận biết ánh sáng, đồng tử giãn rộng và không còn phản xạ. Kết luận cuối cùng vừa đáng sợ vừa lạ lẫm với chàng trai trẻ: A Minh bị tắc nghẽn động mạch võng mạc trung tâm, hay còn gọi là "đột quỵ mắt". Đây là một trong những tình trạng nhãn khoa nguy cấp và tàn khốc nhất, nhưng hiếm xảy ra ở người trẻ tuổi.
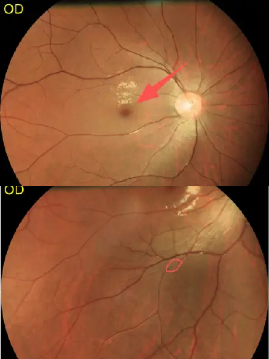
Sau rất nhiểu nỗ lực của đội ngũ y bác sĩ, thị lực trung tâm ở mắt phải của A Minh đã hồi phục, nhưng cục huyết khối mỡ vẫn chưa biến mất. Nó chỉ di chuyển đến một mạch máu xa hơn, điều này vẫn có thể dẫn đến khiếm khuyết thị trường cục bộ trong tương lai. Các bác sĩ cho biết tiên lượng đối với "đột quỵ mắt" rất xấu và thị lực thường hiếm khi hồi phục được trên 0,1.

Tình trạng "đột quỵ mắt" của A Minh
A Minh lúc này chỉ biết gào khóc trong oan ức vì cho rằng mình quá trẻ, chẳng có bệnh nền gì. Cho đến khi bác sĩ hỏi thêm về lối sống và tìm ra "thủ phạm" gây bệnh, A Minh lại chuyển sang xấu hổ rồi hối hận.
Hóa ra, "thủ phạm" là loại đồ uống mà A Minh "mê như điếu đổ": Trà sữa. Chàng trai thú nhận mình thích đồ ngọt và thường uống trà sữa tần suất ít nhất 4 đến 5 cốc mỗi tuần. Anh hay gọi các vị trà nhiều đường, nhiều topping và có vị béo ngậy.
Bác sĩ cho biết, dù không thể khẳng định trà sữa là nguyên nhân duy nhất, nhưng đây chính là yếu tố chủ chốt dẫn tới đột quỵ mắt ở người trẻ như A Minh. Loại đồ uống chứa cực nhiều đường và chất béo này làm tăng độ nhớt của máu, gây rối loạn lipid máu và dẫn đến hình thành các cục huyết khối mỡ. Những cục mỡ này di chuyển trong dòng máu và "mắc kẹt" tại động mạch mắt, cắt đứt nguồn sống của võng mạc chỉ trong tích tắc.
Vị bác sĩ này cũng nhấn mạnh, đột quỵ mắt không còn là bệnh của người già. Trước đây, đột quỵ mắt chỉ xảy ra ở những người lớn tuổi có bệnh nền như cao huyết áp, tiểu đường hay tăng lipid máu. Tuy nhiên, lối sống thiếu khoa học đang khiến căn bệnh này "trẻ hóa" một cách đáng báo động. Trường hợp của A Minh là lời cảnh báo đắt giá: khi máu trở nên quá đặc và bẩn do dung nạp quá nhiều đường, chất béo, không chỉ đôi mắt mà cả tim và não bộ cũng nằm trong tầm ngắm của những cơn tắc nghẽn kịch tính. Vì vậy, bao giờ phòng bệnh cũng hơn chữa bệnh.

Ảnh minh họa
Đặc biệt, thời gian vàng để điều trị đột quỵ mắt cực kỳ khắc nghiệt, chỉ vỏn vẹn từ 40 đến 60 phút. Nếu vượt quá ngưỡng này, các tế bào võng mạc sẽ chết vĩnh viễn do thiếu oxy, đồng nghĩa với việc bệnh nhân phải đối mặt với bóng tối suốt đời. Dấu hiệu đột quỵ mắt thường là thị lực sụt giảm đột ngột, mắt tối sầm như có màn che nhưng không hề đau nhức. Việc chủ quan, trì hoãn đến bệnh viện khi thấy mắt mờ đột ngột chính là sai lầm lớn nhất khiến nhiều người trẻ phải hối tiếc muộn màng.
- Thiết lập chế độ ăn uống cân bằng: Cắt giảm chất béo bão hòa và đường tinh luyện để máu không bị "đặc", đồng thời bổ sung rau xanh, cá béo để làm bền thành mạch máu mắt.
- Không dùng điện thoại trong bóng tối: Tránh để mạch máu mắt bị co thắt dữ dội do áp lực ánh sáng xanh và điều tiết quá mức trong môi trường thiếu sáng.
- Tuân thủ quy tắc 20-20-20: Cứ sau 20 phút làm việc, hãy nhìn xa 6m trong 20 giây để giải tỏa áp lực và giúp vi mạch mắt được thư giãn.

Ảnh minh họa
- Cảnh giác với chứng "mù thoáng qua": Nếu mắt mờ đột ngột rồi rõ lại, cần đi tầm soát ngay vì đây là tín hiệu cảnh báo sớm của một cơn đột quỵ mạch máu sắp tới.
- Chườm ấm/mát xa mắt mỗi tối: Sử dụng khăn ấm hoặc mát xa nhẹ nhafg giúp kích thích lưu thông máu, làm giãn các mạch máu bị căng thẳng sau một ngày dài làm việc.
- Hạn chế thức khuya sau 23h: Ngủ đủ giấc giúp hệ thống mạch máu phục hồi và tăng cường lưu thông oxy đến võng mạc, giảm nguy cơ tắc nghẽn mạch.
- Kiểm soát chỉ số mỡ máu và huyết áp: Khám sức khỏe định kỳ để đảm bảo không có các mảng xơ vữa di chuyển gây tắc nghẽn "đường ống" dẫn máu nuôi dưỡng đôi mắt.
Nguồn và ảnh: Sohu, Family Doctor