Chảy “nước mũi” suốt 20 ngày, người phụ nữ bất ngờ khi phát hiện… não bị rò rỉ

Mỹ Diệu, Theo phunumoi.net.vn 04:00 06/04/2026
Chia sẻ

Sau gần 20 ngày tình trạng không thuyên giảm, chị đi khám thì nhận kết quả khiến nhiều người “giật mình”: rò rỉ dịch não tủy qua mũi - một tình trạng hiếm nhưng tiềm ẩn nhiều biến chứng nguy hiểm.

Theo trang Sina, thời điểm giao mùa xuân hè, các bệnh như viêm mũi, cảm lạnh, nhiễm trùng hô hấp rất dễ bùng phát. Chính vì vậy, khi liên tục bị chảy nước mũi, chị La (39 tuổi, Quảng Đông, Trung Quốc) ban đầu chỉ nghĩ mình bị cảm thông thường. Tuy nhiên, sau gần 20 ngày tình trạng không thuyên giảm, chị đi khám thì nhận kết quả khiến nhiều người “giật mình”: rò rỉ dịch não tủy qua mũi, một tình trạng hiếm nhưng tiềm ẩn nhiều biến chứng nguy hiểm.

Theo chia sẻ của bệnh nhân, ban đầu chị chỉ thấy “nước mũi trong” chảy nhiều hơn bình thường. Nhưng càng ngày, chị càng nhận ra những dấu hiệu bất thường: chỉ chảy ở một bên mũi, dịch trong suốt bất thường, khi cúi đầu hoặc rặn thì chảy nhiều hơn, thậm chí khi dịch chảy xuống miệng còn có vị hơi mặn. Chính những chi tiết này khiến chị nghi ngờ và quyết định đến bệnh viện kiểm tra.

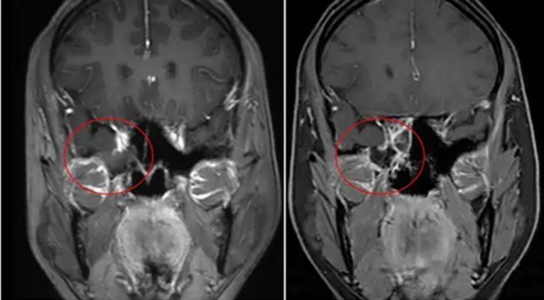
Tại khoa Tai Mũi Họng - Phẫu thuật đầu cổ, bác sĩ nhận định các triệu chứng của chị rất điển hình cho tình trạng rò dịch não tủy. Kết quả chụp CT và MRI sọ não cho thấy thành ngoài xoang bướm bên phải của bệnh nhân bị khuyết xương, một phần mô não thoát vị qua lỗ khuyết, kèm theo dịch não tủy rò rỉ. Ngoài ra, chị còn mắc tình trạng dịch não tủy chèn ép tuyến yên và tăng áp lực nội sọ lành tính.

Chảy “nước mũi” suốt 20 ngày, người phụ nữ bất ngờ khi phát hiện… não bị rò rỉ- Ảnh 1.

Các bác sĩ đã tiến hành phẫu thuật nội soi qua đường mũi, nhờ đó có thể tiếp cận trực tiếp vùng tổn thương ở nền sọ, xử lý phần mô thoát vị và dùng mô tự thân như mỡ, cân để vá kín lỗ rò theo nhiều lớp, đồng thời tránh được các cấu trúc quan trọng như động mạch cảnh và xoang hang.

Sau phẫu thuật, kết quả kiểm tra cho thấy vùng tổn thương đã được phục hồi tốt, không còn dịch rò, các triệu chứng chảy nước mũi biến mất hoàn toàn. Bệnh nhân hồi phục và xuất viện, trở lại sinh hoạt bình thường.

Làm sao phân biệt “nước mũi” thông thường với dịch não tủy?

Thực tế, não người luôn được bao quanh bởi một lớp dịch gọi là dịch não tủy, có vai trò đệm và bảo vệ não. Giữa não và khoang mũi là một lớp xương nền sọ rất mỏng. Khi lớp xương này bị tổn thương hoặc có lỗ khuyết, dịch não tủy có thể rò xuống mũi, tạo thành hiện tượng “chảy nước mũi” đặc biệt.

Điểm khác biệt nằm ở tính chất dịch: dịch não tủy thường trong suốt như nước, không đục, có thể chảy một bên, tăng lên khi cúi đầu, đôi khi có vị mặn nhẹ. Trong khi đó, nước mũi do viêm nhiễm thường đặc hơn, có màu và kèm theo các triệu chứng như nghẹt mũi, hắt hơi.

Trong lâm sàng, bác sĩ có thể sử dụng que thử đường hoặc xét nghiệm β2-transferrin để xác định chính xác dịch chảy ra có phải là dịch não tủy hay không.

Nguyên nhân gây rò dịch não tủy khá đa dạng. Phổ biến nhất là do chấn thương vùng đầu như tai nạn giao thông, té ngã. Ngoài ra, có thể do biến chứng sau phẫu thuật xoang – nền sọ, hoặc tự phát ở những người béo phì, ngưng thở khi ngủ, tăng áp lực nội sọ. Một số trường hợp do dị tật bẩm sinh, đến khi trưởng thành mới biểu hiện.

Trường hợp của chị La thuộc nhóm tự phát, liên quan đến rối loạn áp lực dịch não tủy kéo dài, khiến vùng nền sọ yếu dần và xuất hiện lỗ rò.

Các chuyên gia cảnh báo, rò dịch não tủy không chỉ gây khó chịu mà còn tiềm ẩn nhiều biến chứng nghiêm trọng. Nguy hiểm nhất là nhiễm trùng nội sọ, do vi khuẩn từ khoang mũi có thể đi ngược vào não, gây viêm màng não hoặc áp xe não. Ngoài ra, mất dịch não tủy có thể gây tụt áp lực nội sọ, dẫn đến đau đầu dữ dội, buồn nôn. Trong một số trường hợp, mô não còn có thể bị đẩy ra ngoài, gây rối loạn chức năng.

Vì vậy, nếu xuất hiện tình trạng chảy nước mũi trong kéo dài, đặc biệt chỉ ở một bên, tăng khi cúi đầu, kèm tiền sử chấn thương đầu hoặc triệu chứng như đau đầu, nhìn mờ… cần đi khám sớm. Việc tự ý dùng thuốc viêm mũi, đặc biệt là thuốc xịt chứa corticoid, có thể che lấp triệu chứng và làm chậm trễ chẩn đoán.

Hiện nay, phẫu thuật nội soi điều trị rò dịch não tủy đã rất phát triển, an toàn và hiệu quả cao. Điều quan trọng nhất vẫn là phát hiện sớm và can thiệp kịp thời, tránh những biến chứng đáng tiếc có thể xảy ra.

TIN CÙNG CHUYÊN MỤC
Xem theo ngày