Người phụ nữ bị u màng não khổng lồ, bác sĩ chỉ ra những dấu hiệu dễ nhầm lẫn

Vân Sơn, Theo tienphong.vn 16:01 22/12/2025
Chia sẻ

Thường xuyên xuất hiện những cơn đau đầu và chóng mặt, nữ bệnh nhân cho rằng mình chỉ bị mệt mỏi do áp lực công việc kéo dài. Tuy nhiên, các triệu chứng không thuyên giảm mà ngày càng nặng hơn, âm thầm che giấu một khối u khổng lồ ở màng não suýt cướp đi tính mạng bệnh nhân.

Ngày 22/12, BS-CKI Hồ Hoài Hưng, Trưởng khoa Ngoại Thần kinh Bệnh viện Đa khoa Xuyên Á cho biết, tại đây vừa tiếp nhận, can thiệp cho một trường hợp bị khối u màng não rất lớn đe dọa tính mạng. Bệnh nhân là chị T. (33 tuổi, ngụ tỉnh Tây Ninh) được đưa đến bệnh viện cấp cứu sau khi bất ngờ ngã quỵ trong nhà vệ sinh tại nhà.

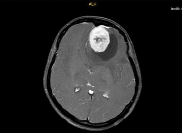
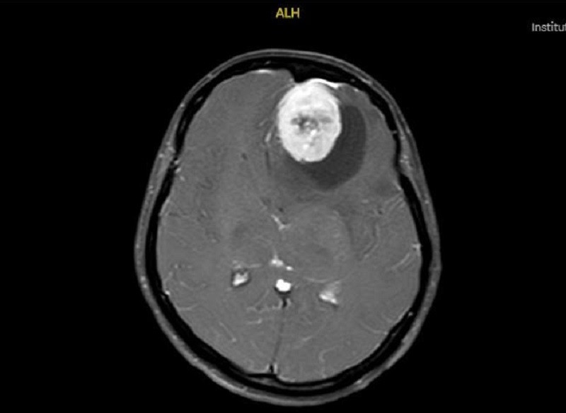
Người phụ nữ bị u màng não khổng lồ, bác sĩ chỉ ra những dấu hiệu dễ nhầm lẫn- Ảnh 1.

Trên hình ảnh kiểm tra, các bác sĩ ghi nhận khối u khổng lồ

Theo thân nhân người bệnh, nhiều tháng trước khi rơi vào nguy kịch, chị T. có biểu hiện đau đầu âm ỉ, đôi lúc choáng váng, buồn nôn nhẹ. Tuy nhiên, bệnh nhân cho rằng cơ thể bị suy nhược hoặc rối loạn tiêu hóa thông thường nên chị chủ quan không đi khám. Chỉ trong thời gian ngắn, tình trạng tiến triển nhanh với các cơn đau đầu dữ dội hơn, tay chân yếu dần, cơ thể rã rời, kèm nôn ói liên tục và rối loạn tiêu hóa.

Tại khoa Cấp cứu, sau thăm khám và chỉ định chụp MRI sọ não, các bác sĩ phát hiện một khối u màng não vùng trán có kích thước khoảng 6cm, lớn tương đương một quả trứng gà. Khối u chèn ép mạnh nhu mô não, gây phù não lan rộng và làm lệch đường giữa lên đến 15mm. Đây là mức độ chèn ép rất nặng, có nguy cơ dẫn đến rối loạn ý thức, hôn mê sâu và đe dọa trực tiếp tính mạng nếu không được can thiệp kịp thời.

Trước tình trạng nguy kịch người bệnh đối mặt, ê kíp bác sĩ Ngoại Thần kinh đã nhanh chóng hội chẩn và thống nhất chỉ định phẫu thuật khẩn nhằm giải phóng chèn ép não cho bệnh nhân. Ca mổ gặp nhiều khó khăn do khối u lớn, phù nề lan tỏa và nằm ở vị trí ảnh hưởng trực tiếp đến chức năng não.

Người phụ nữ bị u màng não khổng lồ, bác sĩ chỉ ra những dấu hiệu dễ nhầm lẫn- Ảnh 2.

Các bác sĩ đã thực hiện thành công cuộc phẫu thuật bóc tách khối u màng não cho người bệnh

Ca phẫu thuật được triển khai với sự hỗ trợ của kính vi phẫu - thiết bị giúp phẫu thuật viên quan sát rõ những cấu trúc não sâu và phức tạp mà mắt thường khó nhận biết. Nhờ hình ảnh phóng đại sắc nét, bác sĩ có thể xác định ranh giới giữa khối u và mô não lành, lựa chọn đường mổ phù hợp, giảm tối đa xâm lấn và bảo tồn các mạch máu, cấu trúc thần kinh quan trọng.

Trong suốt hơn 4 giờ phẫu thuật, từng thao tác bóc tách được thực hiện cẩn trọng và chính xác. Kết quả, khối u đã được lấy trọn vẹn mà không gây tổn thương mô não xung quanh.

Khoảng 2 giờ sau phẫu thuật, bệnh nhân đã tỉnh táo, tiếp xúc tốt, cử động tay chân bình thường. Sau 4 ngày điều trị, sức khỏe bệnh nhân hồi phục khoảng 90% so với trước khi phát bệnh, tinh thần ổn định, sinh hoạt gần như trở lại bình thường.

Từ trường hợp trên, BS Hưng cho biết u màng não phần lớn là u lành tính và phát triển chậm. Chính đặc điểm này khiến nhiều người chủ quan, dễ nhầm lẫn triệu chứng ban đầu với mệt mỏi, stress hay rối loạn sức khỏe thông thường. Khi khối u lớn dần, chèn ép não, người bệnh mới xuất hiện các dấu hiệu rõ rệt và nguy hiểm.

Theo bác sĩ, những dấu hiệu cảnh báo u màng não thường gặp gồm đau đầu kéo dài hoặc tăng dần, đặc biệt là đau nhiều vào buổi sáng; buồn nôn, nôn không rõ nguyên nhân; chóng mặt, mờ mắt; yếu tay chân, đi lại khó khăn; co giật hoặc rối loạn ý thức. Nếu không được phát hiện và điều trị sớm, u não có thể gây biến chứng nặng nề dẫn tới tử vong.

Các bác sĩ khuyến cáo người dân không nên xem nhẹ những triệu chứng bất thường của cơ thể. Việc chủ động khám sức khỏe định kỳ, đặc biệt khi có các dấu hiệu thần kinh kéo dài, sẽ giúp phát hiện sớm các bệnh lý nguy hiểm. Thăm khám kịp thời và chẩn đoán bằng các phương tiện hiện đại như CT, MRI đóng vai trò quan trọng trong việc điều trị hiệu quả, bảo toàn chức năng não và tính mạng người bệnh.

TIN CÙNG CHUYÊN MỤC
Xem theo ngày