TIN TỨC VỀ u màng não - u mang nao
u màng não
-
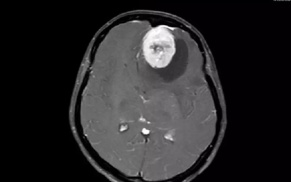
Khối u khổng lồ đẩy lệch não ẩn sau những cơn đau đầu
Những cơn đau đầu dai dẳng đã che giấu khối u khổng lồ gần 8cm trong não bệnh nhân. Khi nhập viện, người bệnh đã yếu hai chân, rối loạn vận động do não bị chèn ép, đẩy lệch sang một bên. -
Người phụ nữ bị u màng não khổng lồ, bác sĩ chỉ ra những dấu hiệu dễ nhầm lẫn
Thường xuyên xuất hiện những cơn đau đầu và chóng mặt, nữ bệnh nhân cho rằng mình chỉ bị mệt mỏi do áp lực công việc kéo dài. Tuy nhiên, các triệu chứng không thuyên giảm mà ngày càng nặng hơn, âm thầm che giấu một khối u khổng lồ ở màng não suýt cướp đi tính mạng bệnh nhân. -
Đau đầu dữ dội, bé gái 9 tuổi phát hiện khối u màng não lớn, đe dọa tính mạng
Bác sĩ cảnh báo trẻ bị đau đầu, đặc biệt là đau đầu kéo dài, gia đình nên cho đi khám để kiểm tra và can thiệp y tế kịp thời. -
Người phụ nữ bị đau đầu, buồn nôn suốt 3 tháng vì khối u màng não
Bệnh viện đa khoa tỉnh Lào Cai vừa phẫu thuật thành công ca u màng não cho một bệnh nhân nữ 41 tuổi.