Nhiều món ăn quen thuộc tưởng chừng bổ dưỡng lại có nguy cơ chứa ký sinh trùng nếu không được chế biến đúng cách. Chuyên gia cảnh báo: thói quen ăn uống chủ quan có thể ảnh hưởng lâu dài đến sức khỏe.
Một số loại rau củ quả tưởng chừng như vô hại này lại tiềm ẩn nguy cơ nhiễm ký sinh trùng gây hại cho sức khỏe con người. Dưới đây là 2 loại củ quen thuộc ngoài chợ bán rất nhiều. Khi chế biến lưu ý điều sau để bảo vệ sức khỏe "vàng" cho cả nhà.
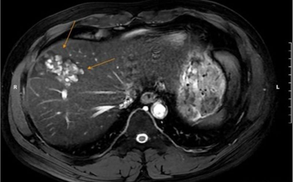
Người đàn ông này có thói quen ăn rau sống và uống rượu. Thấy đau tức hạ sườn phải, mệt mỏi, rối loạn tiêu hóa ông liền đi viện khám thì phát hiện sự việc đau lòng nói trên.
Một người đàn ông có trệu chứng mệt mỏi, đau nhức nhiều ở vùng chân, lưng, hạn chế vận động… nên đến viện khám. Bác sĩ phát hiện các mô vùng xương đùi và cẳng chân bệnh nhân có nhiều kén sán kích thước như hạt gạo.
Cô gái trẻ ở Hải Phòng thường xuyên ăn món quen thuộc, hầu như mâm cơm nhà nào cũng có không ngờ kết quả xét nghiệm cho thấy bệnh nhân nhiễm đồng thời 4 loại ký sinh trùng, gồm sán máng, sán lá gan lớn, sán lá gan nhỏ và giun lươn.
Một người đàn ông 35 tuổi ở Lào Cai có thói quen ăn món “vạn người mê”. Gần đây, người này thường xuyên xuất hiện các triệu chứng đau bụng, bụng sôi và khó chịu, đặc biệt khi để đói.
Nhắc đến ký sinh trùng, nhiều người thường nghĩ ngay đến thịt động vật chưa nấu chín, hoặc các loại thủy hải sản như cá, tôm, cua, ốc. Tuy nhiên, ít ai ngờ rằng một số loại rau củ chúng ta ăn hằng ngày cũng có thể là nguồn lây ký sinh trùng.