eMagazine
Genz Area
ShowLive
GÓP Ý GIAO DIỆN MỚI
TRANG CHỦ
Star
Ciné
Musik
Beauty & Fashion
Đời sống
Money-Z
Ăn - Quẩy - Đi
Xã hội
Sức khỏe
Tek-life
Học đường
Xem Mua Luôn
Video
Đời sống
Nhân vật
Xem-Ăn-Chơi
House n Home
Xem mua luôn
Thời trang
Đẹp
Mommy mua di
Sport
Bóng đá
Hậu trường
Pickleball
Esports
Musik
Âu-Mỹ
Châu Á
Việt Nam
Hip-hop neva die
Ciné
Phim chiếu rạp
Phim Việt Nam
Series truyền hình
Hoa ngữ - Hàn Quốc
Tek-Life
Metaverse
How-To
Wow
2-Mall
Star
Sao Việt
Hội bạn thân showbiz
TV Show
Xã hội
Pháp luật
Nóng trên mạng
Sống xanh
Học đường
Nhân vật
Du học
Bản tin 46'
Thế giới đó đây
Chùm ảnh
Khám phá
Dị
Sức khỏe
Tin tức
Dinh dưỡng
Khỏe đẹp
Giới tính
Các bệnh
Nhóm chủ đề
Tải app
iOS
Android
Fanpage
Liên hệ
Quảng cáo
live
TIN TỨC VỀ gãy xương - gay xuong
gãy xương
Chia sẻ
0
Xóa tất cả
Ngoài 30 tuổi xương đã "xốp như tổ ong", ho cũng gãy xương đùi vì mê loại nước "ngòn ngọt", uống tê đầu lưỡi
Sức khỏe
-
Dù mới 35 tuổi nhưng mật độ xương của người đàn ông này tương đương với một cụ già 80 tuổi. Chỉ ho cũng gãy đôi xương đùi.
Hoa hậu kiêm bác sĩ nhãn khoa bị gãy xương, xuất huyết nội sọ chỉ sau 1 cú ngã
Sức khỏe
-
Ngay sau tai nạn, cô được chuyển khẩn cấp tới ICU trong tình trạng nguy kịch, cần theo dõi thần kinh liên tục.
Đánh pickleball trúng mắt khiến nhiều người mất thị lực tạm thời
Sức khỏe
-
Theo nghiên cứu mới, số ca chấn thương mắt do Pickleball tăng mạnh trong 3 năm qua, phần lớn ở người trên 50 tuổi.
Cô gái 21 tuổi mắc "hội chứng búp bê sứ"
Sức khỏe
-
Cô gái mới 21 tuổi nhưng xương lại giòn yếu chẳng khác nào cụ bà ngoài 60. Chỉ một cú ngã nhẹ khi chạy bộ cũng đủ khiến cô bị gãy xương.
Chơi vật tay với bạn, nam sinh bị gãy xương
Sức khỏe
-
Sau lần vật tay với bạn, nam sinh 18 tuổi nhập viện trong tình trạng gãy xương cánh tay, phải cố định kéo dài, nguy cơ tổn thương thần kinh.
Té từ mái nhà nạn nhân gãy hàng loạt xương thoát chết thần kỳ
Sức khỏe
-
Trong lúc đang sửa lại mái nhà, ông P.T.N. (52 tuổi, ngụ Long An) bất ngờ trượt chân rơi xuống nền cứng, dẫn đến chấn thương nghiêm trọng vùng chậu, ngực và cột sống. Nhờ được cấp cứu và điều trị kịp thời, ông N. may mắn thoát chết trong gang tấc.
Tin nổi bật kenh 14
Trâm Anh xoá ảnh chung và unfollow JustaTee, đăng dòng trạng thái: "Vừa tự tay xoá đi một vài thứ, đẹp nhưng phải xoá đi thôi"
Thực trạng của Bệnh viện Hữu nghị Việt Đức trong 9 ngày nghỉ Tết: Khi con số thống kê không đủ nói nên tất cả...
Diễn viên Hứa Vĩ Văn: “Tôi không muốn là một người thợ diễn”
Dương Quốc Hoàng làm nên lịch sử, Việt Nam lần đầu tiên vô địch Premier League Pool 2026
Sáng khai xuân, dân công sở Hà Nội đối mặt "kiếp nạn" đầu tiên của năm mới
Siêu mẫu Lan Khuê: "Có những chuyện hoàn toàn không đúng 1% nào hết nhưng vẫn bị lan truyền từ năm này qua tháng nọ"
Mùng 7, đồng nghiệp lên văn phòng làm việc, còn mình vẫn đang đi chơi: "Chẳng có gì là 'tội lỗi'..."
Chu Thanh Huyền cầm cả sấp 100k lì xì vẫn bị chê "keo kiệt" vì: Giàu như vậy phải cho 500k?
Mua vàng ngày vía Thần Tài: Sau nhiều năm, người mua lời hay lỗ?
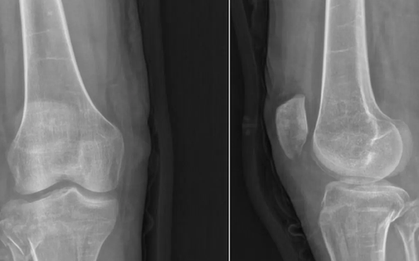
Hơn 200 lần gãy xương, chàng trai vẫn chinh phục nóc nhà Đông Dương
Sức khỏe
-
Từ chàng trai liên tục gãy xương chân tay vì mắc bệnh hiếm, giờ đây Vũ Ngọc Anh sắp kết hôn với cô gái mà anh yêu thương.
Cúi xuống nhặt đồ, cô gái 25 tuổi gãy xương vì loại nước nhiều người thích uống mỗi ngày
Sức khỏe
-
Chỉ cúi xuống nhặt đồ cũng có thể gây gãy xương sao? Hóa ra câu chuyện này lại có thật.
Người Nhật ít uống sữa nhưng xương vẫn chắc khỏe? Chuyên gia tiết lộ 1 thực phẩm then chốt, quen thuộc với người Việt đến bất ngờ
Sức khỏe
-
Dù lượng tiêu thụ sữa và hấp thụ canxi ít hơn nhưng người Nhật lại có tỉ lệ loãng xương thấp hơn hẳn các nước Âu Mỹ.
Xem x-quang xương của "bà cụ 80 tuổi" bị gãy đốt sống, bác sĩ ngớ người khi biết bệnh nhân mới ngoài đôi mươi
Sức khỏe
-
Nếu cho rằng loãng xương là bệnh của người già thì bạn đã lầm. Đôi khi, tuổi thật của bạn là ngoài đôi mươi nhưng tuổi xương tương đương bà lão.
Bấm để xem thêm