Người đàn ông đang được nhắc đến họ Đường, 48 tuổi, sống tại Trung Quốc. Ông đi khám nha khoa vì có vết nhiệt miệng mãi chưa khỏi, đau lan cả sang răng và lưỡi. Thế nhưng bác sĩ kiểm tra một hồi liền khuyên ông nên tới bệnh viện lớn hơn để khám, rất có thể là ung thư.
Ông Đường vừa tức giận vừa buồn cười. Trong suy nghĩ của ông, nhiệt miệng chẳng có gì nghiêm trọng, bác sĩ đang dọa mình. Có người nhiệt miệng do nóng trong, do thiếu hụt vitamin nào đó, còn ông thì chắc vô tình sứt nướu khi đánh răng. Bởi ông vốn có thói quen chải răng rất mạnh, đây cũng không phải lần đầu bị như vậy.
Bác sĩ bình tĩnh giải thích rồi hỏi ông có thấy vết nhiệt miệng này có gì khác những lần trước. Ông Đường thoáng nghĩ một chút rồi giật mình. Quả thật, đây là vết nhiệt miệng khó chịu và lâu lành nhất ông từng gặp trong đời mình.

Nhờ đi khám nha khoa, người đàn ông phát hiện ung thư giai đoạn cuối (Ảnh minh họa)
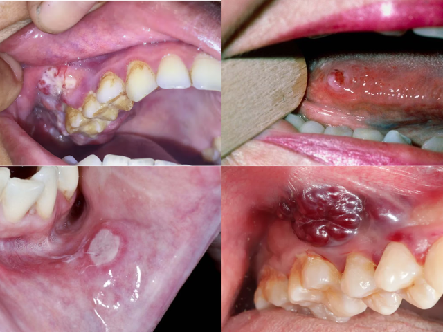
Lúc đầu, ông vô tình nhìn thấy vết nhiệt có màu trắng, sưng lên nhưng không đau nên chẳng để tâm. Khoảng vài tuần sau, nó bắt đầu loét mạnh, đỏ trắng lẫn lộn ở quanh viền và gây khó chịu. Ông Đường cố chịu, chờ chục ngày sau chưa khỏi mới đi mua thuốc. Gần 2 tháng trời, ông dùng từ thuốc bôi, thuốc ngậm sang cả thuốc uống mà không đỡ. Vợ ông còn mua cho ông cả thuốc lá sắc uống, thuốc giải độc gan vì nghĩ "nóng trong" cũng chẳng ăn thua. Vết loét ngày càng sưng và lan ra, chảy dịch hôi, ăn uống khó khăn ông mới chịu tới nha khoa.
Theo lời khuyên của bác sĩ nha khoa, ông Đường tới khoa ung bướu của một bệnh viện trực thuộc Đại học Y Trung Quốc. Kết quả, ông quả thực mắc ung thư miệng giai đoạn cuối.
Bác sĩ phẫu thuật Shi Hao tại bệnh viện này cho biết: "Khối u của bệnh nhân đã ở giai đoạn T4b, là giai đoạn cuối. Ung thư xâm lấn nghiêm trọng vào nền sọ, cơ nhai sau họng và che phủ động mạch cảnh. Trong trường hợp này, tỷ lệ sống sót sau 5 năm sẽ rất thấp, chỉ dưới 20%. Mặc dù hội chẩn đa khoa đã quyết định áp dụng phương pháp phẫu thuật kết hợp xạ trị và hóa trị để duy trì chức năng ăn nhai, nhưng tiên lượng bệnh là vô cùng xấu".
Ông Đường ôm vợ mà khóc nấc lên, nói không khác gì nhận "án tử". Ông hối hận đủ điều dù đã muộn. Hối hận vì xem nhẹ nhiệt miệng lâu lành, hối hận vì không nghe lời vợ đi khám sớm, càng hối hận hơn khi biết nguyên nhân gây ung thư là 3 thứ "không rời miệng" mình nhiều năm.
Ông Đường hút thuốc (20 năm), uống rượu (gần 20 năm) và nhai trầu (hơn 8 năm). Ông quan niệm "sống chết có số" nên không chịu bỏ thói quen xấu hay đi thăm khám sức khỏe định kỳ.
Thông qua trường hợp đau lòng của ông Đường, bác sĩ Shi nhắc nhở mọi người không được chủ quan với vết loét khoang miệng. Đặc điểm quan trọng nhất để phân biệt tổn thương lành tính với dấu hiệu ung thư là tính chất và thời gian tồn tại của vết thương.
Dưới đây là 5 đặc điểm giúp phân biệt vết nhiệt miệng thông thường với ung thư:
- Thời gian tồn tại: Nhiệt miệng thông thường sẽ tự khỏi sau 1 đến 2 tuần. Tổn thương do ung thư thường kéo dài nhiều tháng, thậm chí hàng năm, không thuyên giảm. Đây là đặc điểm quan trọng nhất cần ghi nhớ.
- Vị trí tái phát: Nhiệt miệng thông thường có thể tái phát nhiều lần nhưng thường ở các vị trí khác nhau trong miệng. Tổn thương ung thư có xu hướng lành lại rồi tái phát ở cùng một vị trí ban đầu.

Không nên chủ quan với các vết loét miệng bất thường, có thể là ung thư (Ảnh minh họa)
- Kết cấu khi chạm: Vết nhiệt miệng lành tính có bờ mềm mại và nông. Vết loét do ung thư thường có cảm giác cứng, chai, bờ nổi cộm và không bằng phẳng khi sờ vào.
- Chảy máu và dịch: Nhiệt miệng thông thường hiếm khi chảy máu không kiểm soát hoặc chảy mủ. Tổn thương ung thư thường có màu khác lạ, sưng to, dễ chảy máu hoặc dịch có mùi hôi.
- Triệu chứng toàn thân: Tổn thương ung thư thường đi kèm với các dấu hiệu toàn thân khác như mệt mỏi, sụt cân không rõ nguyên nhân, sốt kéo dài, hoặc khó khăn khi nhai, nuốt, nói chuyện và cử động lưỡi.
Nguồn và ảnh: ETtoday, Sohu