Đi khám nhiễm trùng tiết niệu, người đàn ông 31 tuổi phát hiện có 3 quả thận

Nguyệt Quang, Theo phunumoi.net.vn 14:00 07/04/2026
Chia sẻ

Bệnh nhân thậm chí không bao giờ nhận ra mình có thêm một quả thận trong suốt cuộc đời.

Theo trang QQ, một người đàn ông 31 tuổi đến từ Varda, Ấn Độ, đã đến bệnh viện với các triệu chứng đau lưng dưới bên phải kéo dài 5 ngày, cảm giác nóng rát khi đi tiểu và sốt cao trên 39 độ C - những triệu chứng ban đầu cho thấy rất có thể anh ta bị nhiễm trùng đường tiết niệu.

Các xét nghiệm tiếp theo nhanh chóng xác nhận chẩn đoán ban đầu này: xét nghiệm máu cho thấy lượng bạch cầu tăng cao, cho thấy cơ thể đang trong phản ứng viêm; cấy nước tiểu phát hiện viêm phổi. Klebsiella pneumoniae là nguyên nhân phổ biến gây nhiễm trùng đường tiết niệu. Dựa trên biểu hiện lâm sàng và kết quả xét nghiệm, bác sĩ xác nhận bệnh nhân đang bị nhiễm trùng.

Tuy nhiên, điều bất ngờ thực sự đến trong quá trình chụp chiếu hình ảnh.

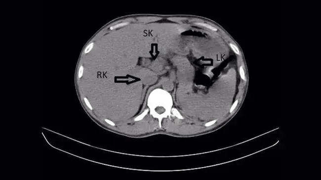
Đi khám nhiễm trùng tiết niệu, người đàn ông 31 tuổi phát hiện có 3 quả thận- Ảnh 1.

Qua siêu âm bụng và chụp CT, các bác sĩ phát hiện bệnh nhân có quả thận thứ ba, còn được gọi là "thận thừa". Quả thận thừa này nằm ở bên phải và được nối với quả thận phải ban đầu, tạo thành cấu trúc tổng thể hình móng ngựa.

Thận thừa là một dị tật bẩm sinh hiếm gặp, thường hình thành trong giai đoạn phôi thai. Cơ chế của nó được cho là liên quan đến sự phân chia bất thường của các cấu trúc tiết niệu nguyên thủy trong quá trình phát triển thận, dẫn đến sự hình thành thêm một nephron. Các nghiên cứu trước đây đã chỉ ra rằng dị tật này không ảnh hưởng đến chức năng thận bình thường trong hầu hết các trường hợp, và do đó thường không có triệu chứng cụ thể. Nhiều bệnh nhân vẫn không được chẩn đoán trong suốt cuộc đời, thường được phát hiện tình cờ trong các lần khám hình ảnh để chẩn đoán các bệnh lý khác.

Tuy nhiên, sự hiện diện của một quả thận phụ có thể làm tăng nguy cơ biến chứng đường tiết niệu trong một số trường hợp nhất định. Trong trường hợp này, các nghiên cứu hình ảnh cho thấy cả hai thận đều bị sưng, kèm theo hình thành sỏi. Sỏi thận là những cấu trúc tinh thể được hình thành khi nồng độ khoáng chất trong nước tiểu tăng cao. Sỏi nhỏ thường được đào thải qua nước tiểu, nhưng nếu chúng vẫn còn trong thận hoặc niệu quản, chúng có thể gây tắc nghẽn và thúc đẩy nhiễm trùng.

Trong trường hợp này, nhiễm trùng thận trái của bệnh nhân nghiêm trọng hơn, và có sự tích tụ sỏi trong niệu quản nối thận trái với bàng quang, cho thấy sự tắc nghẽn đường tiết niệu. Tắc nghẽn đường tiết niệu .Điều này có thể dẫn đến ứ đọng nước tiểu, tạo môi trường thuận lợi cho sự phát triển của vi khuẩn. Tình trạng "tắc nghẽn và nhiễm trùng chồng chéo" này được coi là yếu tố chính làm tình trạng bệnh nhân xấu đi. Cần lưu ý rằng thận phụ thường không trực tiếp gây ra nhiễm trùng đường tiết niệu, nhưng các bất thường về mặt giải phẫu đi kèm, chẳng hạn như khả năng thoát nước tiểu kém, có thể làm tăng nguy cơ sỏi và tắc nghẽn đường tiết niệu, từ đó tạo điều kiện cho vi khuẩn phát triển. Trong trường hợp này, sỏi và tắc nghẽn nhiều khả năng là nguyên nhân trực tiếp làm tình trạng nhiễm trùng xấu đi, trong khi thận phụ chỉ là một yếu tố tiềm ẩn.

Sau khi xác định được nguyên nhân, các bác sĩ nhanh chóng tiến hành các biện pháp can thiệp. Đầu tiên, một ống thông (stent) được đặt vào niệu quản trái của bệnh nhân để khôi phục sự dẫn lưu nước tiểu và giải tỏa tắc nghẽn; sau đó, bệnh nhân được điều trị bằng kháng sinh kết hợp. Sau khoảng 48 giờ điều trị chống nhiễm trùng và truyền dịch, các triệu chứng của bệnh nhân đã cải thiện đáng kể, thân nhiệt giảm và tình trạng tổng thể được cải thiện. Bệnh nhân sau đó được xuất viện, và kế hoạch là sẽ tháo ống thông và tiếp tục điều trị sỏi thận trong lần khám theo dõi tiếp theo.

Thận phụ hiếm gặp

Tính độc đáo của trường hợp này nằm chủ yếu ở hai khía cạnh. Thứ nhất, bản thân "quả thận thừa" cực kỳ hiếm gặp, với chưa đến 100 trường hợp mới được báo cáo trên toàn cầu mỗi năm; thứ hai, quả thận thừa đã hợp nhất với quả thận hiện có để tạo thành cấu trúc hình móng ngựa.Những trường hợp như vậy thậm chí còn hiếm gặp hơn , chỉ có rất ít báo cáo trong các tài liệu khoa học hiện có.

Đi khám nhiễm trùng tiết niệu, người đàn ông 31 tuổi phát hiện có 3 quả thận- Ảnh 3.

Cần lưu ý rằng thận phụ có sự đa dạng đáng kể về mặt giải phẫu. Ở một số người, thận thứ ba có thể tồn tại hoàn toàn độc lập , hoặc chỉ được kết nối với thận bên cạnh bằng một lớp mô mỏng. Chức năng của nó cũng có thể bình thường hoặc khác biệt. Những phát hiện tình cờ như vậy không phải là hiếm. Ví dụ, Tạp chí Y học New England (NEJM) đã đưa tin vào năm 2020 rằng một người đàn ông Brazil đi khám bệnh vì đau lưng do thoát vị đĩa đệm đã bất ngờ phát hiện ra thận thứ ba trong khi chụp CT. Thận phụ này nằm gần vùng chậu và được kết nối với thận phải, nhưng cả ba thận đều hoạt động bình thường và không được coi là nguyên nhân trực tiếp gây ra các triệu chứng của ông.

Thận thừa, một dị tật cấu trúc bẩm sinh, thường không có triệu chứng và không được phát hiện trong thời gian dài. Nó chỉ được phát hiện khi xảy ra sỏi thận, nhiễm trùng hoặc các biến chứng khác, hoặc trong các xét nghiệm hình ảnh để chẩn đoán các bệnh không liên quan. Trong trường hợp không có các yếu tố kích hoạt liên quan, một số bệnh nhân thậm chí có thể không bao giờ nhận ra mình có thận thừa trong suốt cuộc đời.

TIN CÙNG CHUYÊN MỤC
Xem theo ngày