Bệnh nhân N.V.B (60 tuổi, Hà Nội) đi khám trong tình trạng sốt cao, mệt mỏi kéo dài. Trước đó khoảng bốn ngày, người bệnh xuất hiện đau đầu, chóng mặt, cảm giác mệt lả toàn thân và ho khan. Dù có sốt, bệnh nhân không đo nhiệt độ và tự theo dõi tại nhà. Khi các triệu chứng không thuyên giảm, gia đình đã đưa ông đi khám.
Khai thác bệnh sử cho thấy bệnh nhân có tiền sử tăng huyết áp, đang điều trị ổn định. Đáng chú ý, khi hỏi kỹ về yếu tố dịch tễ, các bác sĩ ghi nhận người bệnh có thói quen ăn tiết canh – chi tiết quan trọng giúp định hướng nguyên nhân gây bệnh.
Trước nghi ngờ nhiễm khuẩn huyết, bệnh nhân được chỉ định thực hiện hàng loạt xét nghiệm chuyên sâu. Kết quả cấy máu dương tính với vi khuẩn Streptococcus suis – tác nhân gây bệnh liên cầu lợn nguy hiểm ở người.
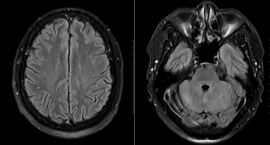
Mặc dù chưa có biểu hiện thần kinh rõ ràng, bệnh nhân vẫn được chọc dò dịch não tủy để loại trừ biến chứng. Kết quả cho thấy dịch não tủy tăng tế bào và protein, phản ứng Pandy dương tính, xác định tình trạng viêm não – màng não. Hình ảnh MRI sọ não còn phát hiện ổ tổn thương nhỏ tại thùy chẩm trái.

Hình ảnh não bệnh nhân có tổn thương.
Từ các dữ liệu lâm sàng và cận lâm sàng, bệnh nhân được chẩn đoán mắc nhiễm khuẩn huyết – viêm não màng não do Streptococcus suis. Ngay khi nhập viện, người bệnh được điều trị kháng sinh đường tĩnh mạch và hiệu chỉnh theo kháng sinh đồ, đồng thời theo dõi sát tình trạng toàn thân và thần kinh.
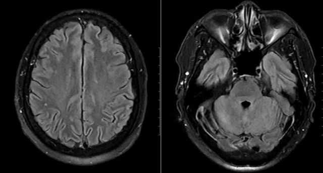
Sau 24 giờ, bệnh nhân cắt sốt, thể trạng cải thiện rõ. Sau 15 ngày điều trị tích cực, các xét nghiệm và hình ảnh học cho thấy tổn thương hồi phục hoàn toàn, bệnh nhân xuất viện trong tình trạng ổn định, không để lại di chứng thần kinh.
Hệ lụy nghiêm trọng từ món ăn “lấy may”
Tiết canh là món ăn quen thuộc trong nhiều gia đình Việt, đặc biệt trong các dịp lễ, Tết, cưới hỏi. Tuy nhiên, đây lại là nguồn lây nhiễm nguy hiểm của nhiều vi khuẩn và ký sinh trùng, trong đó đáng lo ngại nhất là vi khuẩn liên cầu lợn.
BSCKI Hồ Mạnh Linh, Trưởng Khoa Nội, Bệnh viện Đa khoa Medlatec cho biết vi khuẩn này tồn tại trong máu, đường hô hấp và đường tiêu hóa của lợn, kể cả những con trông khỏe mạnh. Khi con người ăn tiết canh hoặc thịt lợn chưa được nấu chín kỹ, vi khuẩn có thể xâm nhập trực tiếp qua đường tiêu hóa hoặc qua các vết trầy xước ở niêm mạc.
Nhiễm liên cầu lợn ở người có thể gây ra hàng loạt biến chứng nguy hiểm như nhiễm khuẩn huyết dẫn đến sốc nhiễm trùng, suy đa cơ quan; viêm não – màng não để lại di chứng thần kinh trung ương; tổn thương nhu mô não gây rối loạn ý thức, hôn mê. Trường hợp nặng có thể tử vong nhanh chóng nếu điều trị muộn.
Điều đáng lo ngại là bệnh thường khởi phát âm thầm, với các triệu chứng không đặc hiệu như sốt, mệt mỏi, đau đầu, buồn nôn. Chính sự chủ quan và chậm trễ trong thăm khám khiến nhiều trường hợp nhập viện khi bệnh đã tiến triển nặng, gây khó khăn cho điều trị.
Khuyến cáo từ bỏ quan niệm “ăn lấy may”
Mỗi dịp đầu năm hay đầu tháng, nhiều người truyền tai nhau câu nói “ăn tí tiết canh cho đỏ”. Họ coi việc ăn tiết canh như một cách "lấy may". Tuy nhiên, từ ca bệnh trên, các bác sĩ khẳng định ăn tiết canh tuyệt đối không an toàn, kể cả khi lợn được cho là khỏe mạnh hoặc có nguồn gốc rõ ràng.
Ngoài nguy cơ nhiễm liên cầu lợn gây nhiễm khuẩn huyết, viêm não – màng não, tiết canh còn có thể là nguồn lây nhiều loại giun sán và ký sinh trùng như sán dây, giun xoắn, sán lá. Các tác nhân này có thể gây tổn thương gan, não, cơ tim, để lại hậu quả lâu dài, thậm chí đe dọa tính mạng. Đáng lưu ý, việc dùng rượu, chanh hay gia vị cay không có tác dụng tiêu diệt vi khuẩn hay ký sinh trùng trong tiết canh.
Đặc biệt trong dịp Tết – thời điểm các bữa ăn sum họp, liên hoan diễn ra thường xuyên – nguy cơ nhiễm bệnh từ thực phẩm sống, tái càng gia tăng. Để bảo vệ sức khỏe, người dân cần tuyệt đối không ăn tiết canh, không sử dụng thịt lợn sống hoặc tái; tuân thủ nguyên tắc ăn chín, uống sôi; lựa chọn thực phẩm có nguồn gốc rõ ràng; sử dụng găng tay, đồ bảo hộ khi giết mổ, chế biến thịt lợn.
Khi xuất hiện các triệu chứng như sốt cao, đau đầu, mệt mỏi kéo dài, đặc biệt nếu có tiền sử ăn tiết canh hoặc tiếp xúc với lợn, người dân cần đi khám ngay. Theo bác sĩ Linh, phát hiện sớm và điều trị kịp thời là yếu tố then chốt giúp cứu sống người bệnh và hạn chế tối đa các biến chứng nguy hiểm.