Bệnh viện 115 cảnh báo loại giun ký sinh trong ruột: Không triệu chứng, nhưng gây tử vong nếu uống sai thuốc kháng sinh

Nguyễn Phượng, Theo doisongphapluat.nguoiduatin.vn 11:09 23/02/2026
Chia sẻ

Nhiều người vẫn lầm tưởng đau bụng, sụt cân chỉ là dấu hiệu của viêm loét dạ dày thông thường hoặc ung thư. Tuy nhiên, đằng sau những triệu chứng ấy đôi khi là sự hiện diện thầm lặng của một loại ký sinh trùng nguy hiểm: Giun lươn.

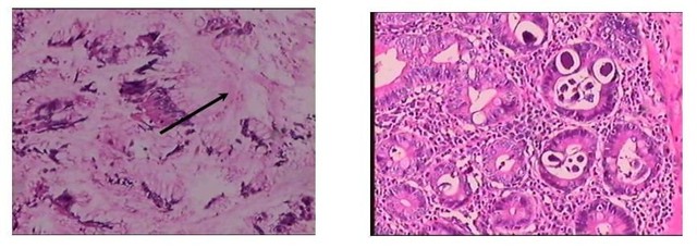
Vừa qua, Khoa Giải phẫu bệnh – Bệnh viện Nhân dân 115 đã tiếp nhận một người bệnh nữ (72 tuổi) nhập viện vì đau bụng vùng thượng vị. Qua nội soi, bác sĩ phát hiện vùng hang vị dạ dày bị loét và nhiễm cứng, hình ảnh rất giống với ung thư dạ dày.

Tuy nhiên, kết quả bất ngờ nằm ở mẫu mô sau khi phẫu thuật. Khi soi dưới kính hiển vi, các bác sĩ Giải phẫu bệnh đã phát hiện ra "thủ phạm" thực sự: Giun lươn đang ký sinh trong niêm mạc ruột non, hoàn toàn không có tế bào ung thư như nghi ngờ ban đầu.

Bệnh viện 115 cảnh báo loại giun ký sinh trong ruột: Không triệu chứng, nhưng gây tử vong nếu uống sai thuốc kháng sinh- Ảnh 1.

A: Hình ảnh viêm loét dạ dày – B: Hình ảnh giun lươn (Mũi tên) trong ruột non

Giun lươn là gì và tại sao lại nguy hiểm?

Giun lươn (Strongyloides stercoralis) là loại giun tròn có khả năng tự nhân lên ngay trong cơ thể người (cơ chế tự nhiễm).

Đường lây truyền: Chúng thường xuyên qua da khi chúng ta đi chân đất, theo máu đến phổi, lên khí quản và cuối cùng được nuốt xuống "định cư" tại ruột non. Sự nguy hiểm: Loại giun này có thể sống âm thầm trong cơ thể hàng chục năm mà không gây triệu chứng rõ rệt. Tuy nhiên, nếu người bệnh bị suy giảm miễn dịch hoặc tự ý dùng thuốc chứa corticoid (một loại kháng viêm rất phổ biến), giun lươn có thể bùng phát mạnh mẽ, gây nhiễm trùng huyết, tổn thương phổi và dẫn đến tử vong.

Lời khuyên từ chuyên gia

Để bảo vệ sức khỏe, người dân cần lưu ý:

Không chủ quan: Khi có triệu chứng đau thượng vị kéo dài trên 2 tuần, sụt cân không rõ nguyên nhân, hoặc rối loạn tiêu hóa kéo dài, cần đi khám ngay tại các cơ sở y tế uy tín.

Không tự ý dùng thuốc: Tuyệt đối không tự mua thuốc giảm đau, kháng viêm (đặc biệt là thuốc có chứa corticoid) vì có thể làm tình trạng nhiễm giun lươn trở nên nguy kịch.

Giữ gìn vệ sinh: Mang bảo hộ lao động, đi giày dép khi tiếp xúc với đất cát.

Tuân thủ điều trị: Khi đi khám, hãy mang theo đầy đủ các kết quả xét nghiệm, nội soi cũ để bác sĩ có cái nhìn toàn diện nhất.

Giải phẫu bệnh đóng vai trò như một "trọng tài" cuối cùng giúp xác định bản chất thật sự của tổn thương. Việc quan sát tỉ mỉ từng mẫu mô giúp bác sĩ không bỏ sót những nguyên nhân hiếm gặp như ký sinh trùng, từ đó giúp người bệnh được điều trị đúng thuốc, tránh những cuộc đại phẫu không đáng có hoặc bỏ lỡ cơ hội điều trị kịp thời.

Giải phẫu bệnh không chỉ trả lời câu hỏi "Có ung thư hay không?", mà còn là chìa khóa mở ra những sự thật thầm lặng. Những phát hiện “ngoài dự đoán” giúp bác sĩ lâm sàng có hướng điều trị mới, bổ sung, tránh bỏ sót bệnh lý của người bệnh, từ đó tăng chất lượng điều trị và cứu sống.

TIN CÙNG CHUYÊN MỤC
Xem theo ngày