Sự chủ quan khiến khối u âm thầm ăn mòn ổ mắt

Linh Chi, Theo vtv.vn 15:17 03/01/2026
Chia sẻ

VTV.vn - Chủ quan với u nhầy xoang hàm nhiều năm, người bệnh 76 tuổi nhập viện khi khối u ăn mòn xương, xâm lấn sàn ổ mắt, đe dọa thị lực và gây biến dạng khuôn mặt.

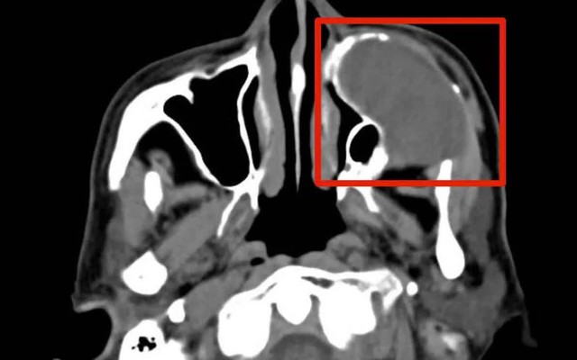
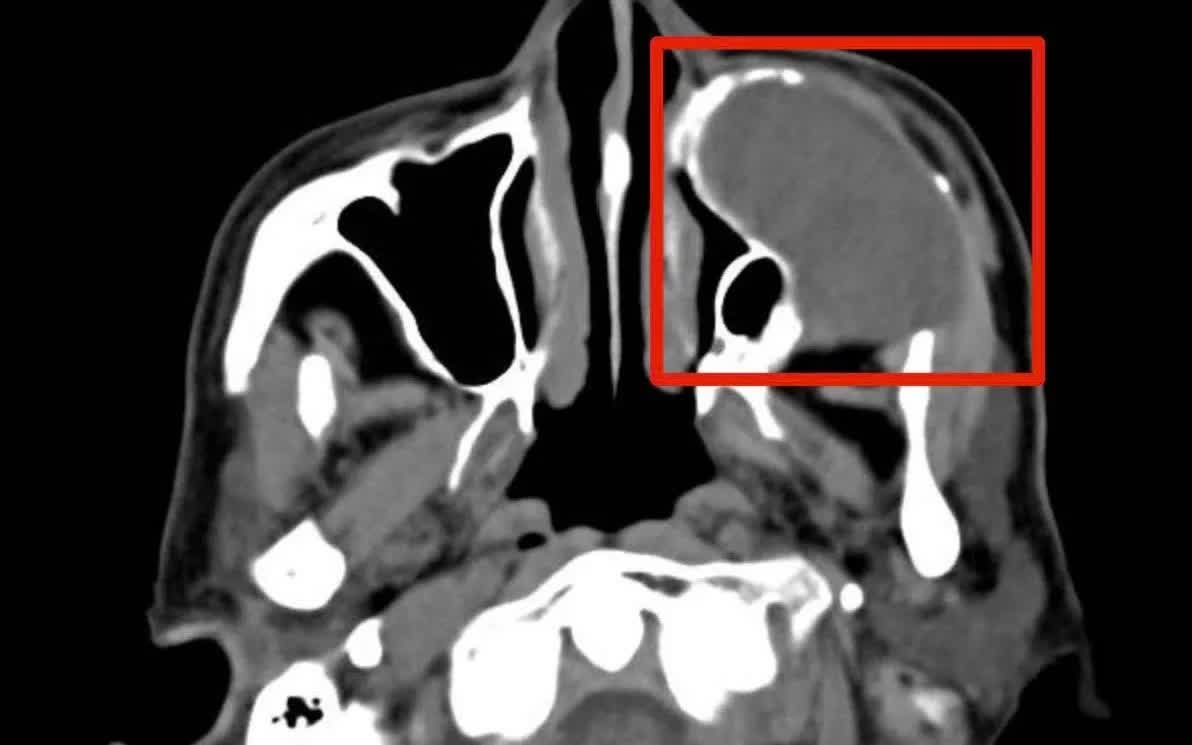
Sự chủ quan khiến khối u âm thầm ăn mòn ổ mắt- Ảnh 1.

Ở tuổi 76, bệnh nhân N.H., trú tại phường Nam Đông Hà (Quảng Trị), nhập viện trong tình trạng sưng đau vùng má trái, khuôn mặt mất cân xứng, rãnh mũi má đầy, lợi hàm trên sần sùi. Đáng lo ngại, thị lực mắt trái giảm dần, kèm theo tình trạng chảy nước mắt kéo dài.

Khai thác bệnh sử cho thấy, bệnh nhân từng được chẩn đoán u nhầy xoang hàm từ nhiều năm trước. Tuy nhiên, do triệu chứng không rầm rộ, ít đau, sinh hoạt vẫn tương đối bình thường nên người bệnh chủ quan, không điều trị triệt để, để khối u âm thầm tiến triển.

Kết quả chẩn đoán hình ảnh sau hội chẩn liên khoa ghi nhận khối u nhầy xoang hàm trái kích thước lớn, gây ăn mòn tiêu xương các thành xoang hàm và xâm lấn, phá hủy sàn ổ mắt. Các bác sĩ đánh giá, đây không còn là khối u lành tính đơn thuần; nếu tiếp tục trì hoãn, người bệnh có nguy cơ suy giảm thị lực không hồi phục, biến dạng vùng mặt và nhiễm trùng lan rộng.

Trước tình trạng này, các bác sĩ chỉ định phẫu thuật nội soi vi phẫu để xử trí triệt để. Trong quá trình mổ, ekip ghi nhận khối u có bề mặt trơn, ranh giới rõ, lòng xoang hàm chứa nhiều dịch nhầy đục tồn đọng lâu ngày. Toàn bộ tổ chức u được lấy bỏ, lỗ thông xoang hàm được mở rộng, hút sạch dịch nhầy, súc rửa và dẫn lưu xoang hiệu quả.

Sau 3 ngày phẫu thuật, tình trạng người bệnh cải thiện rõ rệt: hết sưng đau vùng má, khuôn mặt dần cân đối trở lại, thị lực cải thiện, giảm hẳn chảy nước mắt, không ghi nhận biến chứng sau mổ.

Các bác sĩ khuyến cáo, nhiều bệnh lý tai mũi họng mạn tính tiến triển chậm, ít đau nhưng tiềm ẩn nguy cơ biến chứng nặng nếu không được theo dõi và điều trị kịp thời. Phát hiện sớm và can thiệp đúng lúc là yếu tố quyết định giúp bảo vệ thị lực, thẩm mỹ và chất lượng sống cho người bệnh.

TIN CÙNG CHUYÊN MỤC
Xem theo ngày