eMagazine
Genz Area
ShowLive
GÓP Ý GIAO DIỆN MỚI
TRANG CHỦ
Star
Ciné
Musik
Beauty & Fashion
Đời sống
Money-Z
Ăn - Quẩy - Đi
Xã hội
Sức khỏe
Tek-life
Học đường
Xem Mua Luôn
Video
Đời sống
Nhân vật
Xem-Ăn-Chơi
House n Home
Xem mua luôn
Thời trang
Đẹp
Đồ gia dụng
Sport
Bóng đá
Hậu trường
Pickleball
Esports
Musik
Âu-Mỹ
Châu Á
Việt Nam
Hip-hop neva die
Ciné
Phim chiếu rạp
Phim Việt Nam
Series truyền hình
Hoa ngữ - Hàn Quốc
Tek-Life
Metaverse
How-To
Wow
2-Mall
Star
Sao Việt
Hội bạn thân showbiz
TV Show
Xã hội
Pháp luật
Nóng trên mạng
Sống xanh
Học đường
Nhân vật
Du học
Bản tin 46'
Thế giới đó đây
Chùm ảnh
Khám phá
Dị
Sức khỏe
Tin tức
Dinh dưỡng
Khỏe đẹp
Giới tính
Các bệnh
Nhóm chủ đề
Tải app
iOS
Android
Fanpage
Liên hệ
Quảng cáo
live
TIN TỨC VỀ đầu đầu - dau dau
đầu đầu
đầu đầu
Chia sẻ
0
Xóa tất cả
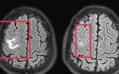
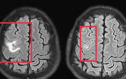
Phát hiện áp xe não nguy hiểm sau 2 tuần đau đầu, buồn ngủ triền miên
Sức khỏe
-
Đi khám sau 2 tuần liên tục đau đầu âm ỉ, mệt mỏi, nữ bệnh nhân ở Hà Nội phát hiện mắc áp xe não trái nên cần nhập viện điều trị.
Đau đầu suốt 2 năm, cô gái 20 tuổi đi khám phát hiện bệnh hiếm gặp
Sức khỏe
-
Bệnh viện Chợ Rẫy (TP.HCM) phẫu thuật bắc cầu động mạch não thành công cho nữ bệnh nhân 20 tuổi thoát khỏi cảnh méo miệng, liệt nửa người sau thời gian dài.
Đau đầu đột ngột - Dấu hiệu cảnh báo tụ máu não nguy hiểm
Sức khỏe
-
Cơn đau đầu tưởng chừng đơn giản có thể là biểu hiện sớm của xuất huyết não.
Đau đầu do lạnh hay dấu hiệu tăng huyết áp?
Sức khỏe
-
Thời tiết lạnh sâu khiến nhiều người thường xuyên than phiền về tình trạng đau đầu, choáng váng, đặc biệt vào sáng sớm hoặc ban đêm.
Người đàn ông 39 tuổi đau đầu, bác sĩ phát hiện thứ "đáng sợ" bên trong
Sức khỏe
-
Bệnh nhân nam 39 tuổi nhập viện vì co giật, đau đầu, tổn thương não nghi ngờ u não, không ngờ bác sĩ phát hiện bí mật bên trong.
Đau đầu có thể không phải là dấu hiệu sớm nhất của xuất huyết não: Gặp 5 triệu chứng này cần đi viện ngay
Sức khỏe
-
Nhiều người nghĩ xuất huyết não chỉ được phát hiện khi đau đầu dữ dội. Tuy nhiên, theo bác sĩ, lúc cơn đau xuất hiện, bệnh thường đã nặng.
Tin nổi bật kenh 14
Đêm Gwanghwamun và lằn ranh bất tử: BTS chính thức bước vào ngôi đền của những vị thần
Phim Việt giờ vàng đừng viện cớ 18+ để "làm càn"!
Giữa Một Vạn Tour của Phùng Khánh Linh: Nhỏ mà có võ
Vụ 5 cha con tự tử vì nghèo đói rúng động Hàn Quốc: Xót xa chiếc bình sữa đặt trước di ảnh 4 đứa trẻ
Vợ JustaTee có động thái liên quan đến Lamoon
Concert cháy vé của mỹ nhân việt mất 10 năm mới toả sáng: Sân khấu tuyệt đẹp, nghệ sĩ lẫn fan đều cảm thấy thoả mãn
Loạt clip về "cú quay xe của số phận" lên xu hướng: Cuộc đua mua nhà, mua xe trở nên vô nghĩa khi bạn... đổ bệnh!
Tóc Tiên, Lê Dương Bảo Lâm và "nửa showbiz" đổ bộ tiệc thôi nôi của ái nữ nhà Puka - Gin Tuấn Kiệt
Lộ diện "thiên đường cô độc" tại Việt Nam vừa được báo Anh xếp hạng lãng mạn nhất châu Á, vị trí chỉ sau Thái Lan
Trước khi đi ngủ có 5 dấu hiệu này, coi chừng đột quỵ sắp ập đến
Sức khỏe
-
Đừng bất cẩn, đôi khi sự mệt mỏi hay vài khác lạ nhỏ trước khi đi ngủ cũng có thể tín hiệu cầu cứu của cơ thể trước cơn đột quỵ.
Đau đầu tưởng tiền đình nhưng có thể là 'chỉ điểm' của bệnh trọng
Sức khỏe
-
Đau đầu dai dẳng là một trong những dấu hiệu cho thấy sự hiện diện của khối u não, khi có triệu chứng này cần sớm đi khám tại các cơ sở y tế uy tín.
Liên tục đau đầu, chóng mặt phát hiện u hiếm gặp nằm sâu trong não
Sức khỏe
-
Nam sinh 17 tuổi liên tục đau đầu, chóng mặt, mệt mỏi kéo dài và được chẩn đoán mắc u vùng tuyến tùng - một loại u não hiếm gặp nằm sâu trong não.
Đau đầu theo 4 kiểu này phải đi khám ung thư ngay! Chậm ngày nào như ôm "bom nổ chậm" ngày nấy
Sức khỏe
-
Rất nhiều người xem nhẹ cơn đau đầu mà không biết đó có thể là "tín hiệu chết chóc" từ ung thư.
Bấm để xem thêm