"Cái răng cái tóc là góc con người", nên ai cũng hiểu việc giữ gìn vệ sinh răng miệng là quan trọng như thế nào. Một nụ cười với hàm răng đều, trắng và đẹp luôn gây được ấn tượng tốt cho những người đối diện, thay vì hàm răng xỉn màu, ố vàng, thậm chí là sâu đen.
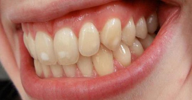
Nhưng tình trạng hàm răng của chúng ta thì mỗi người mỗi vẻ. Cá biệt, có những người dù răng không sâu, cũng không quá vàng, nhưng phía răng cửa lại xuất hiện những đốm trắng kỳ lạ như trong hình dưới đây. Và có thể, chính răng của bạn cũng có nữa.

Các đốm trắng này là gì? Biểu hiện của răng đang có vấn đề, hay còn nguyên nhân gì khác?
Thực ra, có rất nhiều nguyên nhân khiến các đốm này xuất hiện. Và nguyên nhân phổ biến nhất là do hồi nhỏ, bạn đã không giữ gìn vệ sinh răng miệng cẩn thận.
Các mảng bám tích tụ mà không được đánh đi nhờ bàn chải hoặc chỉ nha khoa sẽ gây ra quá trình mang tên "khử khoáng" - demineralisation - trên răng. Đó là lý do vì sao những người đeo niềng răng khi tháo ra cũng xuất hiện 1 mảng màu trắng ở vùng niềng: âu cũng vì mảng bám tích tụ ở kẽ niềng thôi.
Tuy nhiên, cũng có một vài nguyên nhân khác không liên quan đến tình trạng răng miệng. Chẳng hạn bạn có thói quen mở miệng và thở qua miệng khi ngủ. Các đốm trắng sẽ xuất hiện, nhưng là do men răng bị thiếu nước thôi. Một khi tuyến nước bọt hoạt động bình thường, các đốm trắng ấy sẽ sớm biến mất.
Phải làm gì với các đốm trắng này?
Thường thì chúng cũng không gây hại gì cho sức khỏe của bạn. Nhưng nếu thấy bất tiện về mặt thẩm mỹ, thì có một vài giải pháp như tẩy trắng, bọc răng... Dù vậy, bạn có thể cân nhắc đến nha sĩ để được tư vấn kỹ hơn.

Ngoài ra, nếu không muốn các đốm trắng này xuất hiện thì hãy nhớ đánh răng, dùng chỉ nha khoa và súc miệng thường xuyên là được.
Tham khảo: VT, Science Alert