Đi khám vì khó tiêu bất ngờ phát hiện ung thư dạ dày

Ng.Thuận, Theo Người lao động 12:14 18/05/2022
Chia sẻ

Bệnh nhân nam, 67 tuổi, ngụ TP.HCM cảm thấy mệt mỏi, đầy bụng khó tiêu nên đến bệnh viện khám và được chẩn đoán ung thư dạ dày.

Cảm thấy khó tiêu thời gian gần đây nên nam bệnh nhân đến Bệnh viện Nguyễn Tri Phương thăm khám. Tại đây, bệnh nhân được chỉ định nội soi dạ dày, kết quả cho thấy ở phần đứng bờ cong nhỏ vùng thân vị có một khối u đường kính 3cm. Sau khi được sinh thiết khối u và giải phẫu bệnh, cho thấy bệnh nhân bị ung thư dạ dày vùng thân vị.

Bác sĩ Lê Huy Lưu, phụ trách điều hành Khoa Ngoại Tiêu hoá, Bệnh viện Nguyễn Tri Phương đánh giá mặc dù đường kính khá to nhưng độ ăn sâu vào thành dạ dày chưa nhiều. Các bác sĩ của Khoa Nội soi, Ngoại tiêu hoá, Chẩn đoán hình ảnh đã hội chẩn và sử dụng phương pháp cắt lớp điện toán để đánh giá chính xác vị trí khối u. Quy trình đặc biệt được sử dụng là chụp với dạ dày được làm căng bằng nước.

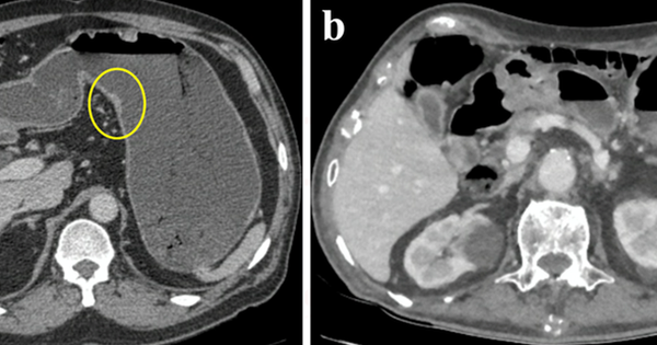
Đi khám vì khó tiêu bất ngờ phát hiện ung thư dạ dày - Ảnh 1.

Bên trái: dạ dày được làm căng, khối u nhỏ được phát hiện (trong vòng tròn). Bên phải: dạ dày chưa được làm căng (Ảnh: BVCC)

Với quy trình đặc biệt này, bác sĩ Lưu cho biết thành dạ dày sẽ được làm căng ra, xoá mất các nếp gấp của niêm mạc dạ dày giúp khối u dạ dày dễ dàng được phát hiện và hạn chế nhầm lẫn; cho biết chính xác vị trí của khối u cũng như xác định được khoảng cách từ khối u tới chỗ nối dạ dày với thực quản.

"Đây là những thông tin rất quan trọng trong việc đánh giá khả năng giữ lại một phần dạ dày cho bệnh nhân hay buộc phải cắt bỏ toàn bộ dạ dày" - bác sĩ Lưu nói.

Sau khi có kết quả chụp, bệnh nhân được tiến hành phẫu thuật nội soi cắt dạ dày. Trong quá trình mổ, bệnh nhân được nội soi cả trong lòng dạ dày và ngoài ổ bụng để đo được chính xác khoảng cách từ khối u đến vị trí dự định cắt.

"Cuộc phẫu thuật đã diễn ra thành công, đạt chuẩn an toàn về mặt ung thư đồng thời vẫn bảo tồn được một phần cực trên dạ dày. Bệnh nhân sau mổ phục hồi rất nhanh với chức năng tiêu hoá không ảnh hưởng đáng kể, kết quả giải phẫu bệnh sau mổ cũng cho thấy an toàn về mặt ung thư" - bác sĩ Lưu cho hay.

TIN CÙNG CHUYÊN MỤC
Xem theo ngày