eMagazine
Genz Area
ShowLive
GÓP Ý GIAO DIỆN MỚI
TRANG CHỦ
Star
Ciné
Musik
Beauty & Fashion
Đời sống
Money-Z
Ăn - Quẩy - Đi
Xã hội
Sức khỏe
Tek-life
Học đường
Xem Mua Luôn
Video
Đời sống
Nhân vật
Xem-Ăn-Chơi
House n Home
Xem mua luôn
Thời trang
Đẹp
Đồ gia dụng
Sport
Bóng đá
Hậu trường
Pickleball
Esports
Musik
Âu-Mỹ
Châu Á
Việt Nam
Hip-hop neva die
Ciné
Phim chiếu rạp
Phim Việt Nam
Series truyền hình
Hoa ngữ - Hàn Quốc
Tek-Life
Metaverse
How-To
Wow
2-Mall
Star
Sao Việt
Hội bạn thân showbiz
TV Show
Xã hội
Pháp luật
Nóng trên mạng
Sống xanh
Học đường
Nhân vật
Du học
Bản tin 46'
Thế giới đó đây
Chùm ảnh
Khám phá
Dị
Sức khỏe
Tin tức
Dinh dưỡng
Khỏe đẹp
Giới tính
Các bệnh
Nhóm chủ đề
Tải app
iOS
Android
Fanpage
Liên hệ
Quảng cáo
live
TIN TỨC VỀ bệnh truyền nhiễm nhóm B - benh truyen nhiem nhom B
bệnh truyền nhiễm nhóm B
Chia sẻ
0
Xóa tất cả
Thêm 4 bệnh truyền nhiễm nhóm B đã có vắc-xin
Sức khỏe
-
Bộ Y tế đã bổ sung 9 bệnh vào danh mục bệnh truyền nhiễm nhóm B. Trong đó, các bệnh do virus HPV, RSV, phế cầu, Hib có thể phòng ngừa bằng tiêm vắc-xin.
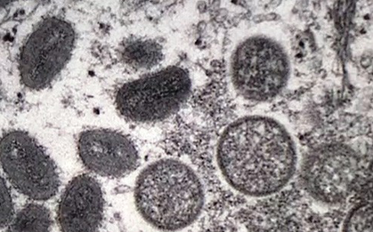
Đậu mùa khỉ được xếp vào bệnh truyền nhiễm nhóm B
Xã hội
-
Đây là nhóm bệnh truyền nhiễm nguy hiểm có khả năng lây truyền nhanh và có thể gây tử vong.
Bấm để xem thêm