eMagazine
Genz Area
ShowLive
GÓP Ý GIAO DIỆN MỚI
TRANG CHỦ
Star
Ciné
Musik
Beauty & Fashion
Đời sống
Money.14
Ăn - Chơi - Đi
Xã hội
Sức khỏe
Tek-life
Học đường
Xem Mua Luôn
Video
Star
Sao Việt
Hội bạn thân showbiz
TV Show
Đi soi sao đi
IDOL 14
Ciné
Phim chiếu rạp
Phim Việt Nam
Phim truyền hình
Hoa ngữ - Hàn Quốc
Musik
Âu-Mỹ
Châu Á
Việt Nam
Beauty & Fashion
Beauty
Fashion
B&F Pick
Đời sống
Nhân vật
Xem ăn chơi
Hot trend
Yêu
Money.14
360 độ vàng
Ăn - Chơi - Đi
Có như lời đồn
Chi tiêu điệu nghệ
Here We Go
Xã hội
Luật và chính sách
Nóng trên mạng
Đô thị
Việt Nam hôm nay
Sức khỏe
Trẻ - Khỏe - Đẹp
Sức khoẻ sinh sản
Chuyện nghề y
Vaccine
Các bệnh
Tek-Life
The Connected Home
How-To
Sống số
Unbox
Xem xe
Học đường
Bản tin
Nhân vật
Du học
Tuyển sinh
Xem mua luôn
Đẹp giống sao
Mua để đẹp
Đồ gia dụng
Deal xịn
Sport
Bóng đá
Hậu trường
Pickleball
Esports
Thế giới đó đây
Khám phá
Độc lạ
The 30s
Nhóm chủ đề
Tải app
iOS
Android
Fanpage
Liên hệ
Quảng cáo
live
TIN TỨC VỀ an toàn cho trẻ - an toan cho tre
an toàn cho trẻ
Chia sẻ
0
Xóa tất cả
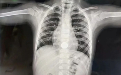
"Con kể mẹ nghe 1 bí mật" - Bà mẹ toát mồ hôi sau lời nói của đứa trẻ 3 tuổi, vội đưa con đi cấp cứu ngay trong đêm
Học đường
-
Sau khi nghe lời tâm sự của con, người mẹ vô cùng hốt hoảng và phải đưa trẻ lập tức đến bệnh viện.
Đi hái rau về, bà ngoại tá hỏa phát hiện cháu trai 3 tuổi đuối nước dưới ao
Xã hội
-
Một bé trai 3 tuổi ở huyện Nghĩa Đàn (Nghệ An) không may bị ngã xuống ao, đuối nước thương tâm.
Bấm để xem thêm