Lần đầu chơi dù lượn trong đời, người đàn ông trong câu chuyện này đã phải đu bám trên thanh xà kim loại trong 2 phút, chỉ vì gã đi cùng quên... đeo móc an toàn cho anh ta. Quả là hồn bay phách lạc!
Lần đầu chơi dù lượn, Youtuber nổi tiếng suýt mất mạng vì không được đeo móc an toàn
Góc hú hồn: Lần đầu chơi dù lượn, Youtuber nổi tiếng mới nhận ra mình chưa được đeo móc an toàn
Chris Gursky, Youtuber nổi tiếng chính là người bên trái trong video. Khi đó, Chris đang tận hưởng kỳ nghỉ ở Thụy Sĩ, nơi anh miêu tả là "vui rất vui nhưng tí nữa thì toi mạng".

Houston! Chúng ta có vấn đề!
Sau khi cùng một người nhảy dù "lão luyện" thả mình từ vách núi cao 1219m, Chris tuyệt nhiên không có dây dợ an toàn gì nối vào người, đành phải la hét và bám chặt tay vào dù trong 2 phút 14 giây. Anh phi công kia vừa túm lấy Chris, vừa điều khiền dù bằng một tay cho đến khi hạ cánh an toàn.

Chris Gursky đang ôm chặt lấy phi công trước khi họ thả mình từ vách núi cao 1219m. Tuy nhiên, Chris không hề được đeo móc an toàn...

Chris trôi tuột xuống, anh phải nỗ lực bấu víu vào thanh xà cũng như người tay phi công đãng trí

Chỉ cần bỏ tay ra là Chris sẽ chết thảm, tuyệt đối không được như vậy

Youtuber đen đủi phải đu bám hơn 2 phút trong không trung trước khi hạ cánh an toàn

Đã có những lúc cảm tưởng như Chris sắp không giữ nổi nữa và thả tay ra...
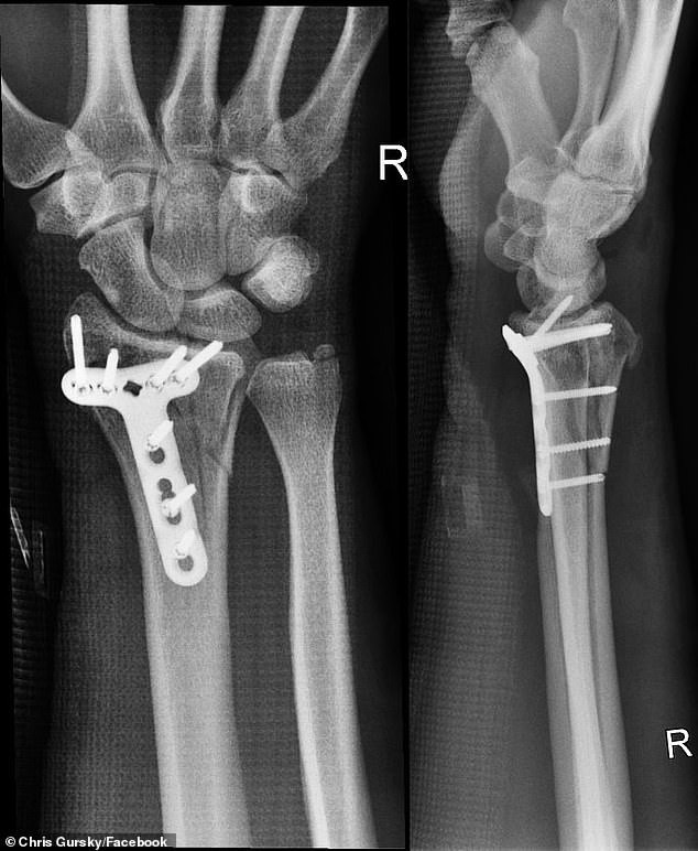
Hoàn cảnh hú hồn này được những chiếc GoPro gắn trên dù lượn ghi lại hết. Sau khi tiếp đất, Chris bị rách cơ tay trái, phải phẫu thuật cổ tay phải vì phải bám víu quá lâu.


Trong cái rủi có cái may, Chris Gursky chỉ bị thương phần mềm và cần thời gian để hồi phục

2 tay Chris sau khi phẫu thuật

Chris và người vợ Gail Gursky tiếp tục kỳ nghỉ ở Thụy Sĩ với cái tay băng bó, không mất mạng là tốt rồi!
Theo Daily Mail